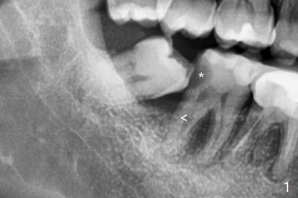
当57岁男因右下7龋齿夜间痛(图一:*),远中骨质吸收(<)就诊时,提出拔除8后放置粘性骨粉和PRF,他欣然同意。拔除智齿(没去骨,但是劈牙)后,7远中去龋,临时充填(图二:*(IRM,必要时转诊根管治疗))。为了让粘性骨粉在最关键部位(7远中)发挥作用,放置前在牙槽窝根尖放置胶原塞(C),占据空间,后来发现骨粉量足够。

增骨     Last     Next

Xin Wei, DDS, PhD, MS 1st edition 01/22/2021, last revision 01/23/2021