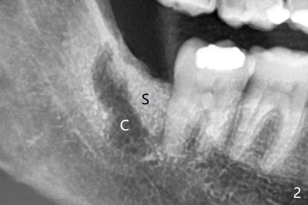
之后在牙槽窝远中,近中放置胶原塞(图二:C)和粘性骨粉(S),上面覆盖PRF,使用4-0 PGA缝线,近中伤口缝合不紧。

智齿牙龈出血       Last     Next

Xin Wei, DDS, PhD, MS 1st edition 06/07/2021, last revision 07/31/2021