![]() |
![]() |
![]() |
智齿牙龈出血
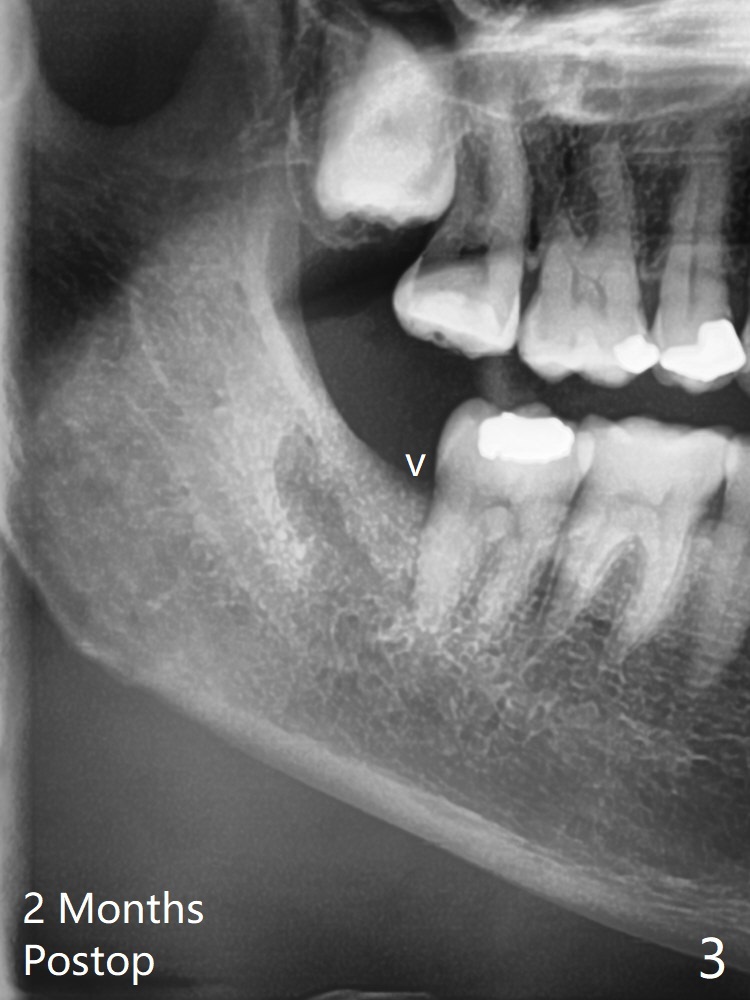
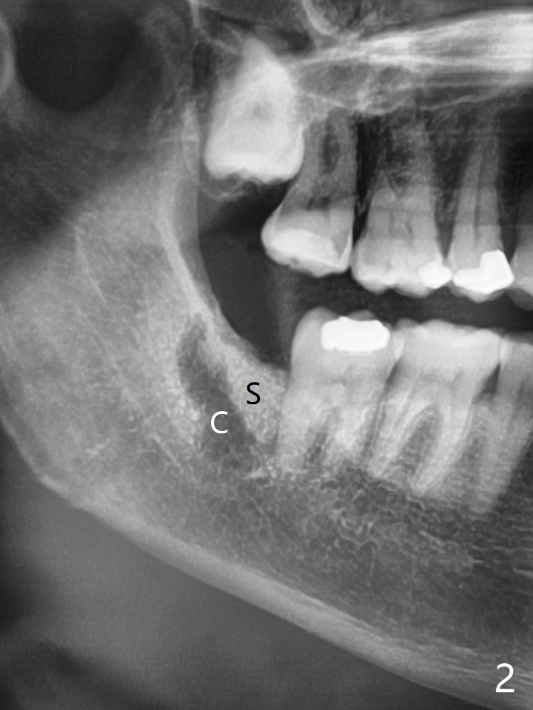
56岁女因右下智齿牙龈出血要求拔除,切开后发现智齿周围骨质吸收,有许多肉芽组织(图一:*),拔除容易,清创时远中牙龈出血,需要压迫止血,之后在牙槽窝远中,近中放置胶原塞(图二:C)和粘性骨粉(S),上面覆盖PRF,使用4-0 PGA缝线,近中伤口缝合不紧。术后两个月随访时拍摄全景片证实骨粉没有明显流失(病人抱怨术后骨粉流失,逐渐减少),第二磨牙远中没有骨板,第三磨牙近中牙槽嵴接近正常外形(图三:箭头)。Return to Plug Allograft 儿子 Xin Wei, DDS, PhD, MS 1st edition 06/07/2021, last revision 08/01/2021