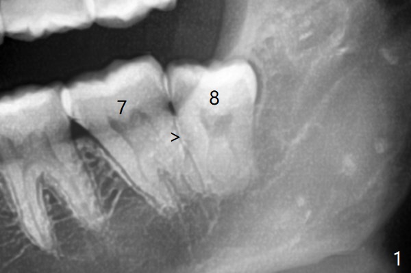
7和8之间只有一层骨皮质(图一:>),8拔除后(图一’),7远中骨质可能退缩,所以植骨尤其重要。医用石膏(Bond Apatite,图二),表面放置1/2胶原塞,4-0 PGA缝合。

便利植骨材料     Last     Next

Xin Wei, DDS, PhD, MS 1st edition 08/27/2020, last revision 11/06/2020