![]() |
![]() |
![]() |
便利植骨材料
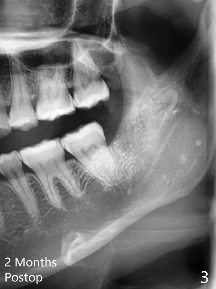
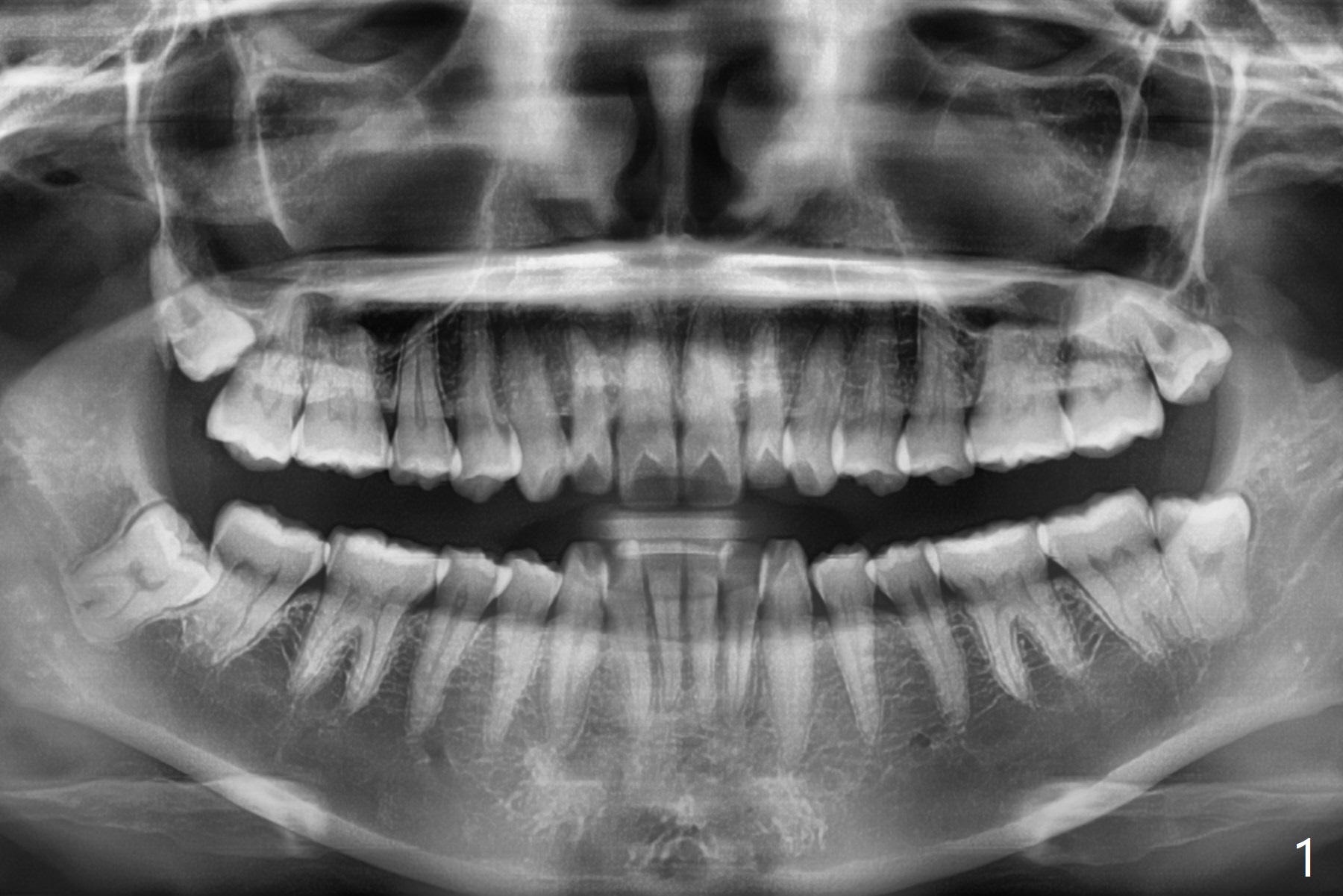
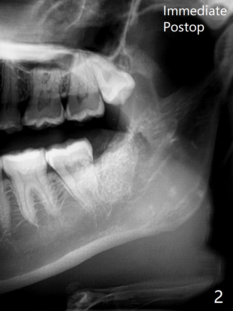
29岁(越过最佳骨再生年龄)女要求拔除左下8,它与7之间骨质非常薄(图一),拔除后需要比较好,便利的植骨材料:医用石膏(Bond Apatite,图二),表面放置1/2胶原塞,4-0 PGA缝合。术后两个月回来拔除左上8(“刺激颊粘膜”,其实远中牙龈红肿),临床上左下8近中颊侧仍有一个小开口,石膏与骨质界限开始不清楚了(图三)。
Return to Plug Xin Wei, DDS, PhD, MS 1st edition 08/27/2020, last revision 11/06/2020