![]() |
![]() |
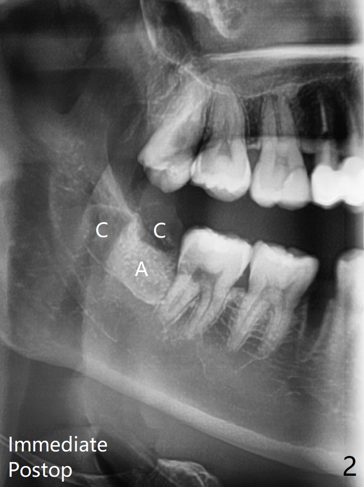
Precise Placement
A 36-year-old nervous woman with left TMJ click agrees to have #29 with caries (<) and 32 extracted in preparation for orthodontic treatment (crowding, Fig.1). With 1/2 of Collagen plug placed in the apical portion of the socket, Bond Apatite (1 cc, A) is placed, followed by the other 1/2 of Collagen Plug coronally (Fig.2). Sutures are removed 22 days postop; the wound heals.
Return to Plug Cement Xin Wei, DDS, PhD, MS 1st edition 07/24/2020, last revision 08/15/2020