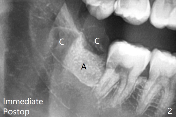
With 1/2 of Collagen plug placed in the apical portion of the socket, Bond Apatite (1 cc, A) is placed, followed by the other 1/2 of Collagen Plug coronally (Fig.2).

TMD     Last     Next

Xin Wei, DDS, PhD, MS 1st edition 07/24/2020, last revision 07/25/2020