![]() |
![]() |
![]() |
![]() |
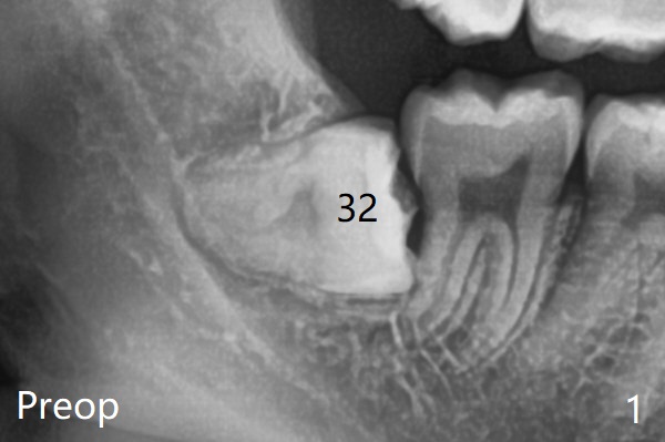
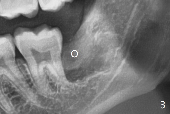
A 22-year-old man, asymptomatic, is going to have #1,16,17 and 32 extracted (Fig.1, fully bony impaction). For the large lower sockets (actually Buccal Impaction), collagen plug is placed in the inferior half, while Bone Cement (Bond Apatite from Augma (Fig.3 A)) and Osteogen plug (O) in the superior half at #32 and 17, respectively.
Xin Wei, DDS, PhD, MS 1st edition 12/27/2019, last revision 12/27/2019