外斜嵴

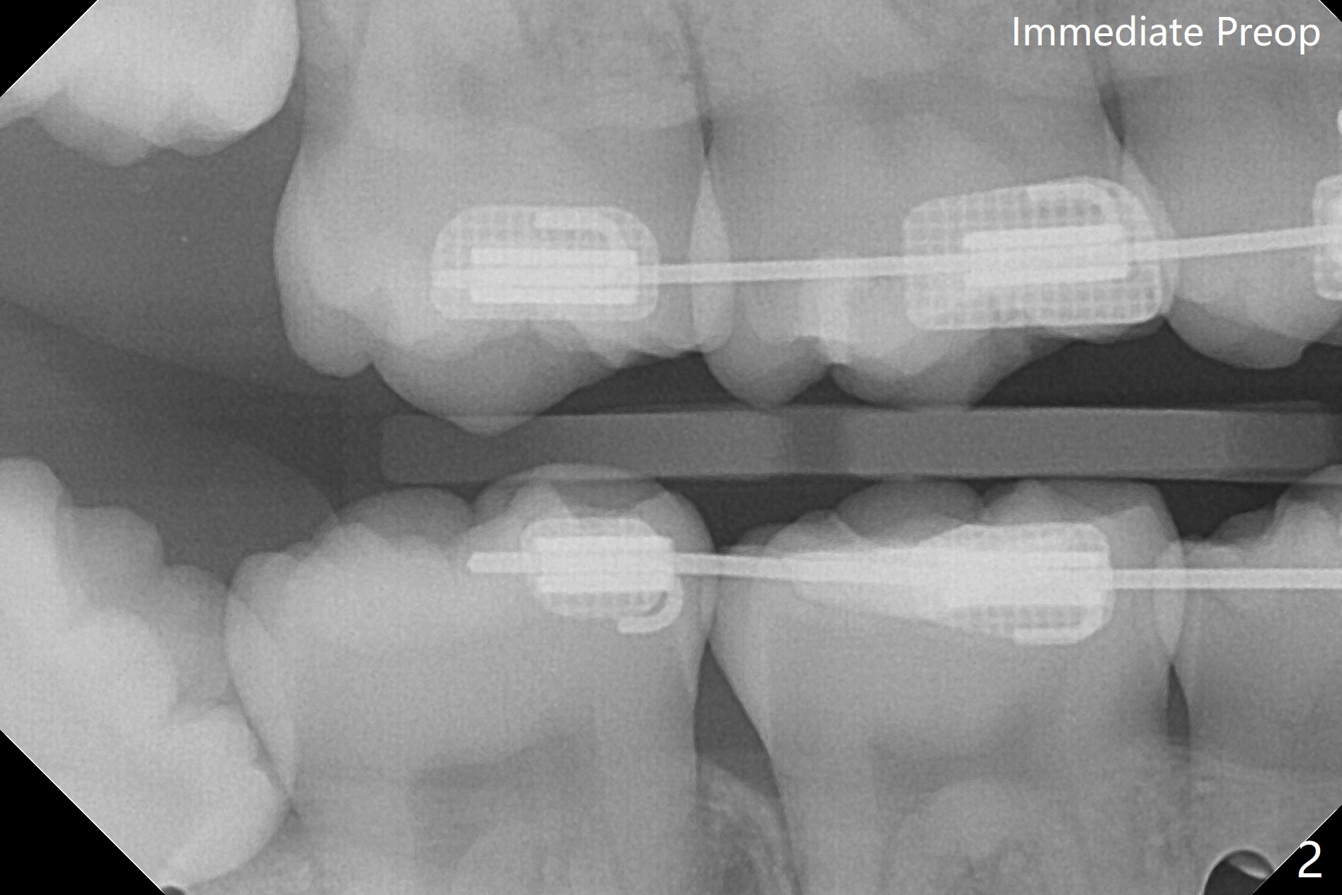
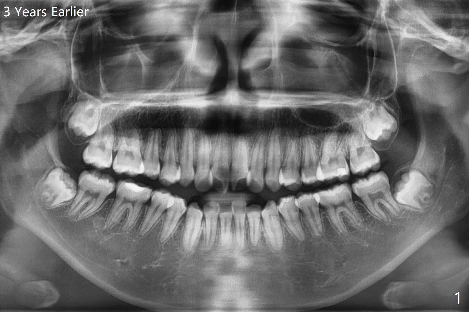
17岁女孩3年前拍摄全景片后拔除4个第一双尖牙(图一),在别的诊所进行矫正(图二,三),在局麻下拔除4个智齿,由于去骨,显得外斜嵴缺失(图四:箭头),放置胶原塞(防止干槽症),4-0含铬羊肠线缝合,预计外斜嵴6-12月能修复。

Return to Plug 外斜嵴形成 Xin Wei, DDS, PhD, MS 1st edition 12/25/2020, last revision 12/25/2020