![]() |
![]() |
![]() |
![]() |
外斜嵴形成
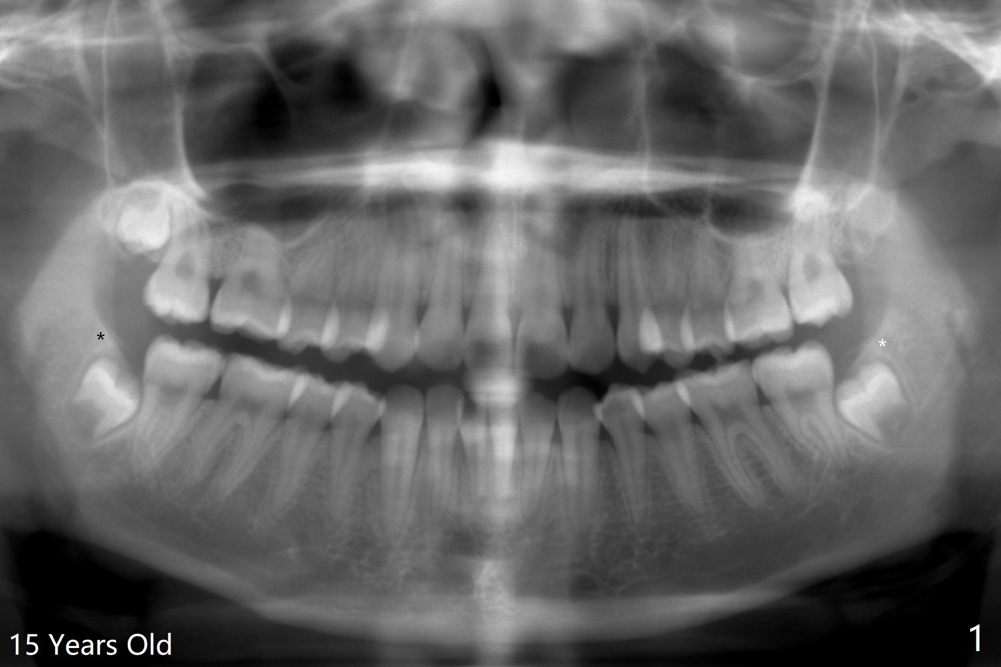
15岁女孩外斜嵴好像小三角形,骨质密度低(图一),18岁时三角形变大,密度增高(图二)。术前拍摄小范围CT,术中切开后,拍摄照片显示外斜嵴,随着颊侧去骨,嵴被破坏(拍照)。
由于临床忙,没有术前拍摄CT,术中发现外斜嵴两侧都不明显(女孩原因?),拔除两侧都需要颊侧去骨。由于左侧智齿颊侧阻生(图三:*),拔除后两侧都放置骨水泥(Bond Apatite,图四:A)促进骨修复,口腔卫生欠缺,可能容易形成牙周炎。
Return to
Plug
Xin Wei,
DDS, PhD, MS 1st edition 12/25/2020, last revision
12/31/2020