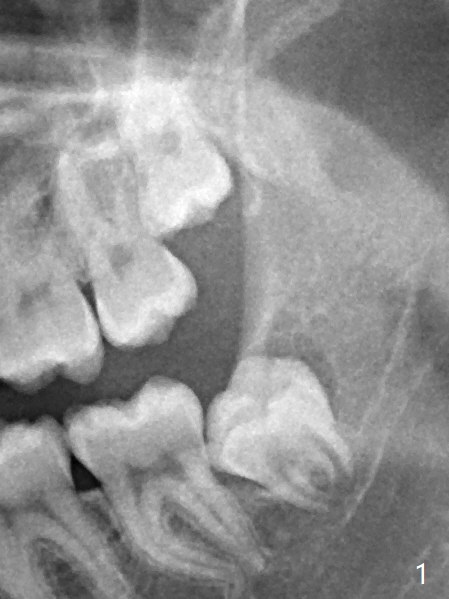
Two years 10 months between Fig.1 and 2.  The chief complaint is mastication pain of the upper 3rd molars, as related to the thin gingiva upon incision.  Overlapping and crowding are much more severe as seen intraop than X-ray indicates.

Dry Socket     Last     Next

Xin Wei, DDS, PhD, MS 1st edition 11/23/2020, last revision 11/23/2020