![]() |
![]() |
![]() |
Collagen Plug Prevents Dry Socket
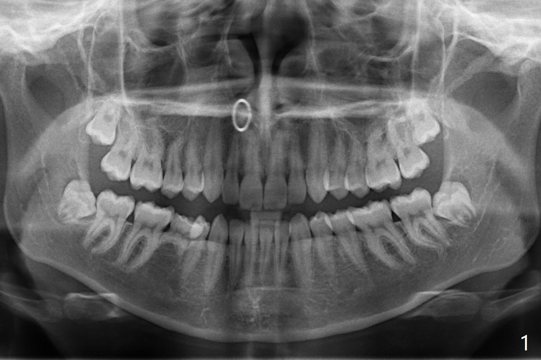
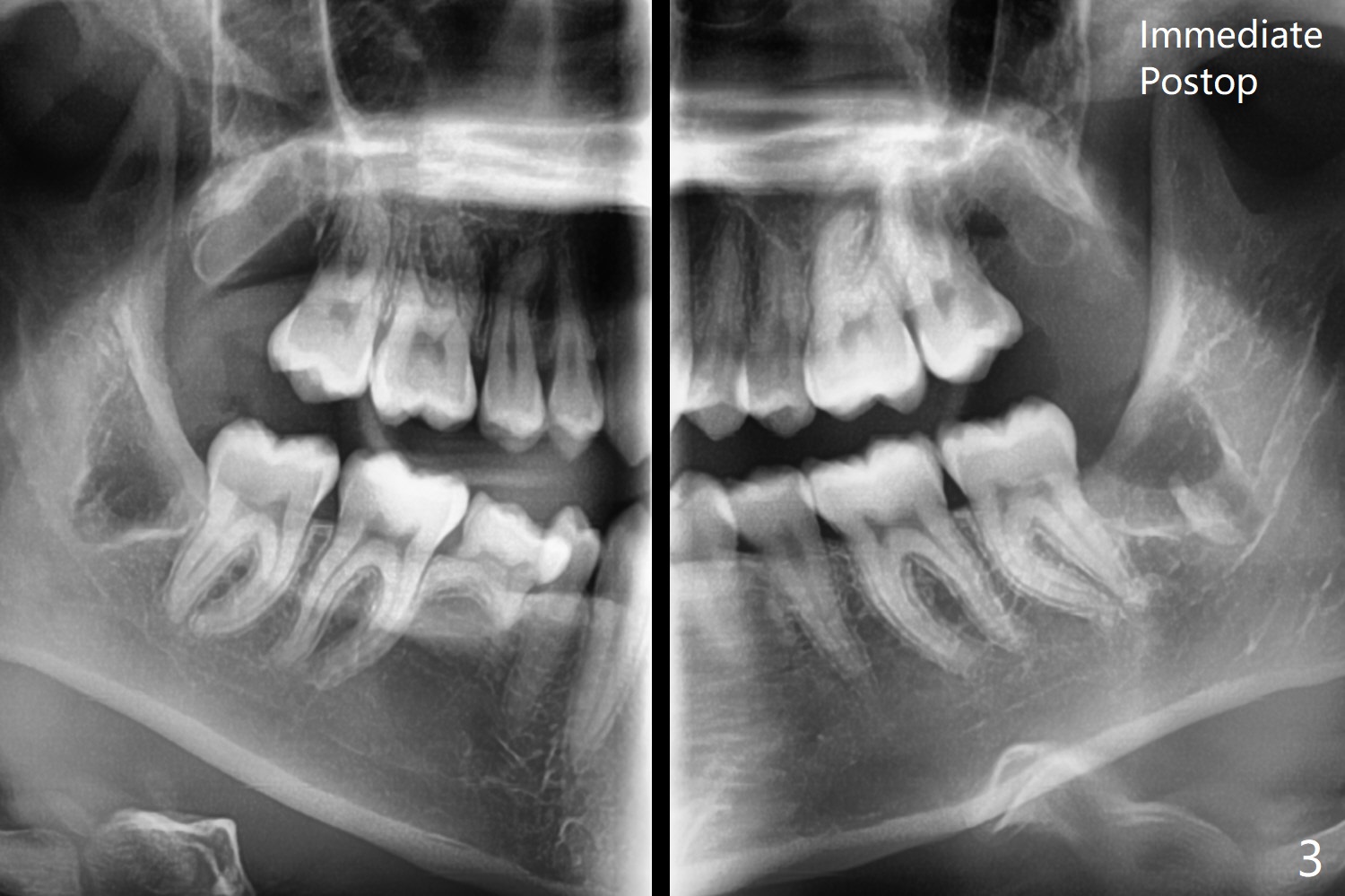
A 21-year-old nervous woman wants to have 4 of the 3rd molars extracted (Fig.1). To prevent dry socket, place collagen plug at #17 and 32. Take panoramic 4 Bitewings postop and preferably preop, since Fig.1 was taken on January 1, 2018 and #17 and 32 are close to the Inferior Alveolar Canals. In fact Osteogen plug is placed at #16 and 17 due to apparently severe bony defect affecting the neighboring teeth, while Collagen plug at #32.
Return to
Plug
Xin Wei,
DDS, PhD, MS 1st edition 11/21/2020, last revision
11/23/2020