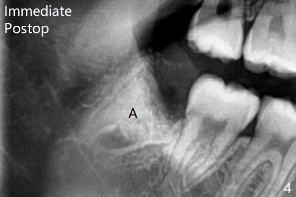
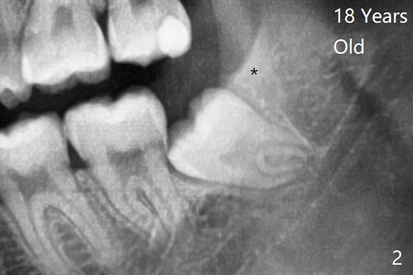
18岁时三角形变大,密度增高(图二)。其实术中发现外斜嵴两侧都不明显(女孩原因?),拔除两侧都需要颊侧去骨。由于左侧智齿颊侧阻生(图三:*),拔除后两侧都放置骨水泥(Bond Apatite,图四:A)促进骨修复,口腔卫生欠缺,可能容易形成牙周炎。

外斜嵴形成     Last     Next

Xin Wei, DDS, PhD, MS 1st edition 12/22/2020, last revision 01/01/2021