![]() |
![]() |
![]() |
![]() |
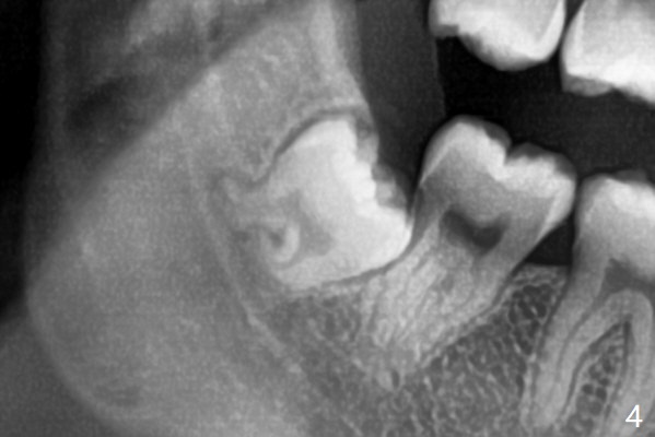
Since the third molars may overlap with the second ones, oblique incision (red line in Fig.4') will be mesial. Place Collagen and Osteogen plugs in the #32 and 17 sockets, respectively (Fig.4': C, O). As the roots are short and bone formation distal to the 2nd molars is critical, the plugs will be placed horizontally and coronally (Fig.4' white outline). No dovetail is needed.
Collagen vs. Osteogen Plug Last Next
Xin Wei, DDS, PhD, MS 1st edition 08/08/2020, last revision 08/15/2020