![]() |
![]() |
Expect Bone Density Increase in 3-4 Months
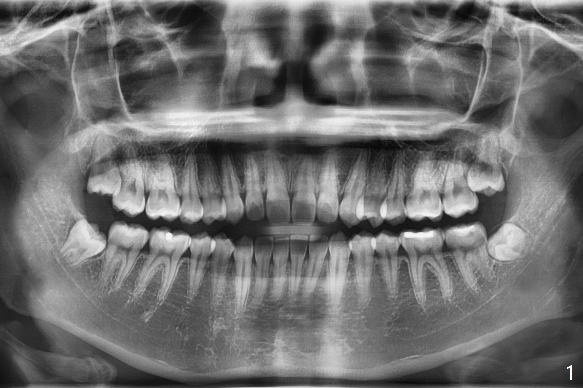
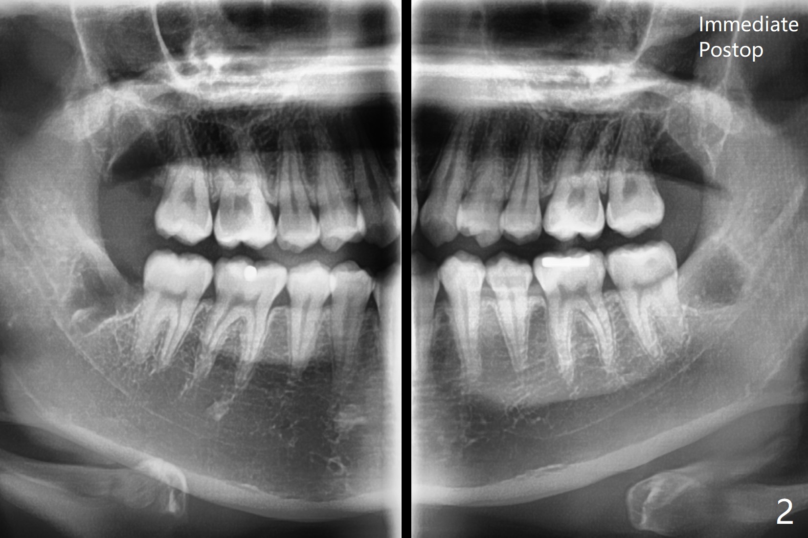
A 18-year-old woman with suboptimal oral hygiene had pericoronitis at #1 and 17 (Fig.1). To prevent dry socket, collagen plug is placed at #17 and 32 post extraction (Fig.2). She is uninterested in bone graft, which turns out unnecessary for young patients.
Return to
Plug
Xin Wei,
DDS, PhD, MS 1st edition 07/23/2020, last revision
08/02/2020