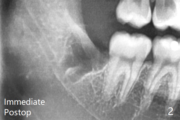
To prevent dry socket, collagen plug is placed at #17 and 32 post extraction (Fig.2).

Bone Density     Last     Next

Xin Wei, DDS, PhD, MS 1st edition 07/23/2020, last revision 07/23/2020