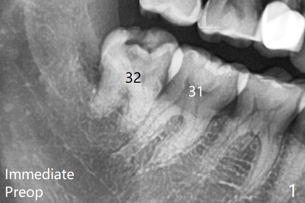
There is limited bone between the lower 2nd and 3rd molars (Fig.1).  Purchase point is made buccal to #17 for elevation.

Half Osteogen Plug     Last     Next

Xin Wei, DDS, PhD, MS 1st edition 05/06/2020, last revision 05/19/2020