![]() |
Half of Osteogen Plug in Each Socket
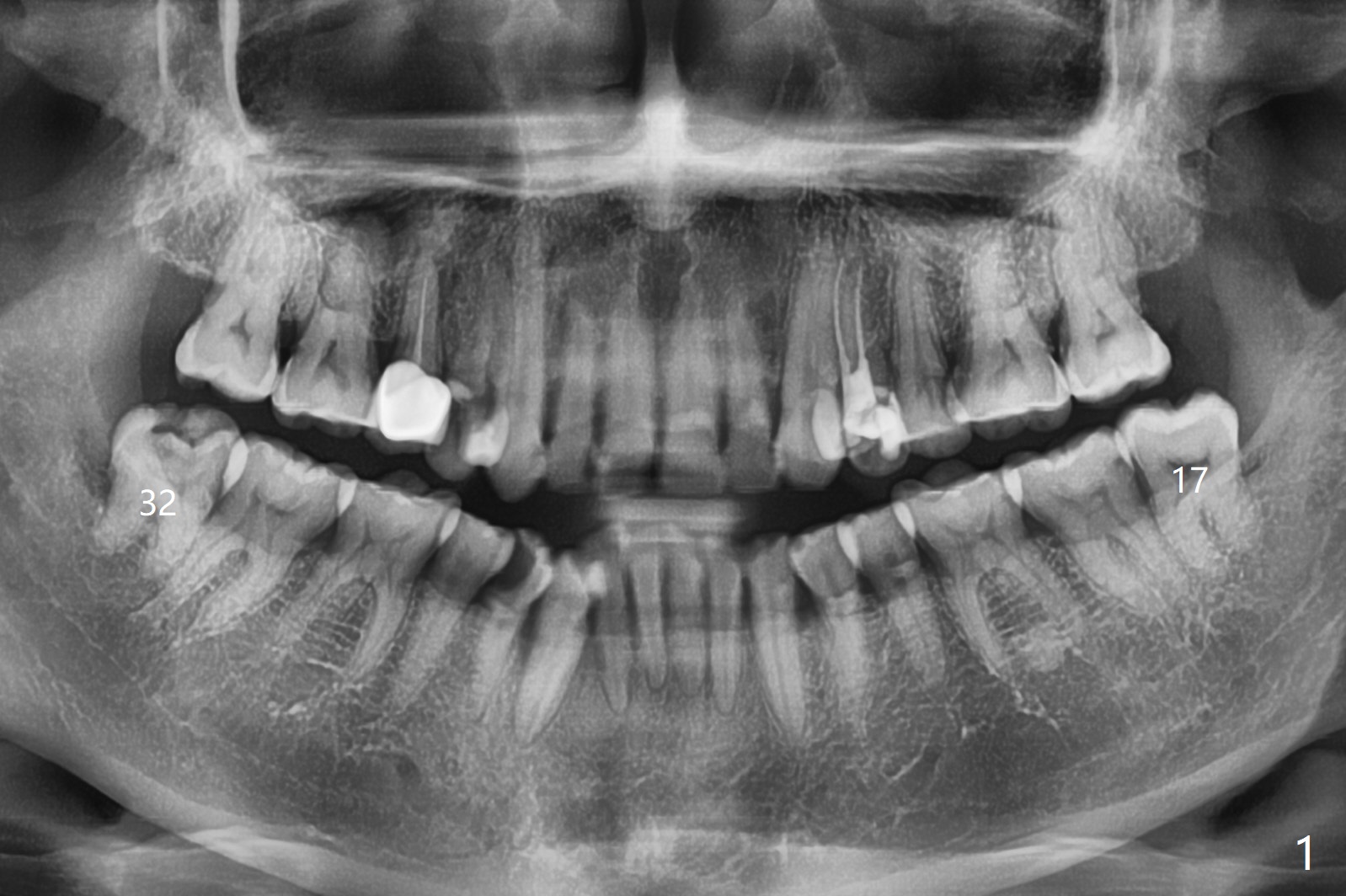
A 52-year-old woman agrees to have #17 and 32 removed (due to caries) with 4q SRP (Fig.1). #17 needs incision for elevation between the buccal crest and the root before application of forceps.
Return to
Plug
Xin Wei, DDS, PhD, MS 1st edition
05/06/2020, last revision
05/06/2020