智齿拔除后骨再生

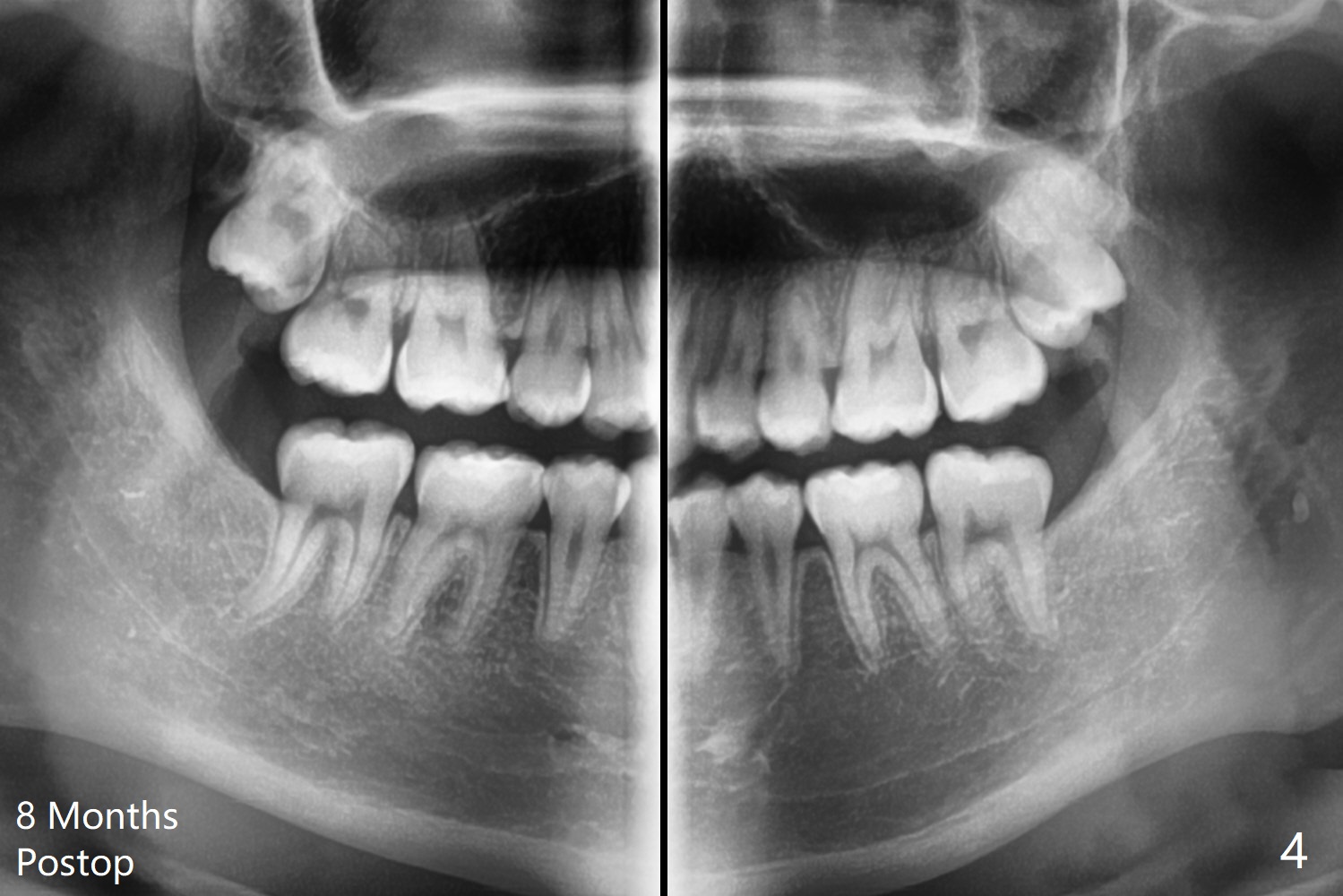
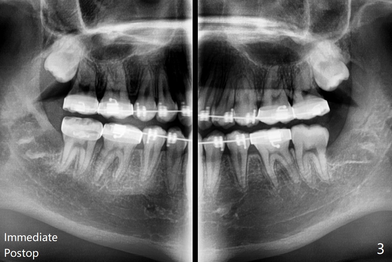
15岁男孩分离器使用后(图一:箭头)无法在左下7放置band,可能因为8阻生(图一,与图二对比)。1.5年后左下8萌出(图二),下颌8拔除,牙槽窝放置Osteogen Plug(图三),八个月后牙槽窝愈合(图四)。

Return to Plug
Xin Wei, DDS, PhD, MS 1st edition 06/06/2021, last revision 06/06/2021