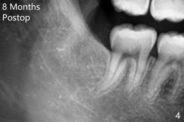
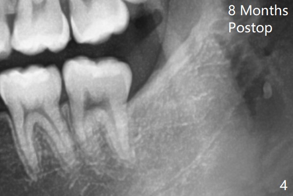
1.5年智齿牙根长长(图二)。1.5月后下颌智齿拔除放置Osteogen Plug(图三)。八个月后牙槽窝愈合(图四)

Bone Regeneration       Last     Next

Xin Wei, DDS, PhD, MS 1st edition 06/04/2021, last revision 06/06/2021