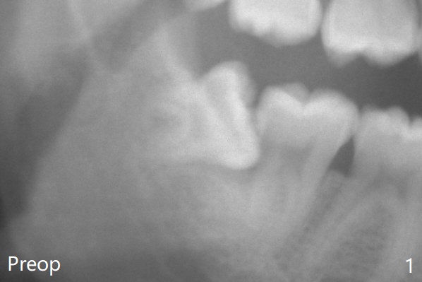
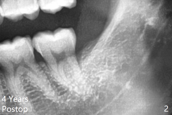
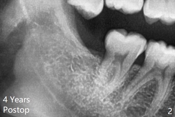
Osteogen plug is placed in the sockets of #17 and 32 post extraction.  The sockets heal 4 years later (Fig.2).

四年随访     Last     Next

Xin Wei, DDS, PhD, MS 1st edition 09/11/2020, last revision 09/11/2020