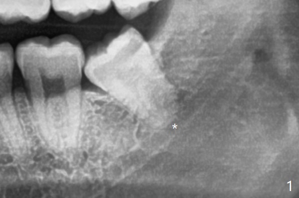
下牙槽神经管(*)位于智齿根尖下方(图一);一种拔除智齿方法是颊侧沟形成后,尽量松动智齿,包括牙根,在牙根周围形成空间(图二:黑色)

内外斜脊       Last     Next

Xin Wei, DDS, PhD, MS 1st edition 07/30/2021, last revision 07/31/2021