内外斜嵴

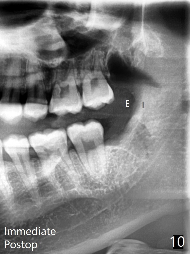
25岁男,特别紧张,要求先拔除左侧智齿(图一,十)。左下牙槽窝放置骨胶原塞。

Return to Plug 母亲 智齿拔除 Xin Wei, DDS, PhD, MS 1st edition 07/30/2021, last revision 08/01/2021