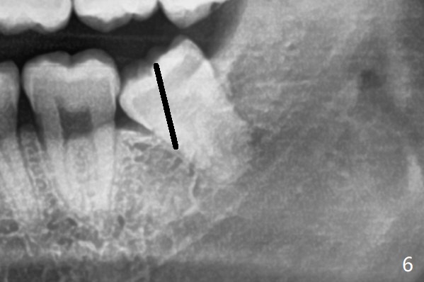
下牙槽神经管(*)位于智齿根尖下方(图一);而没有颊侧沟形成,也没有大量松动智齿,包括牙根,直接切割牙(图六:黑线)

内外斜脊       Last     Next

Xin Wei, DDS, PhD, MS 1st edition 07/30/2021, last revision 07/31/2021