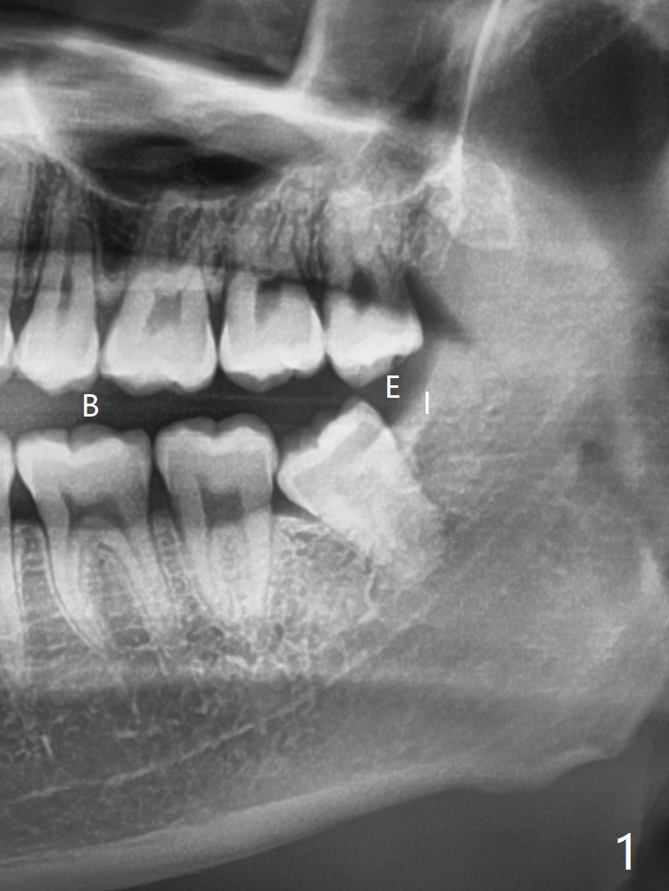
内(I)外(E)斜嵴位于下颌智齿远中,拔除后,内斜嵴近中密度增高,可能与外斜嵴重叠有关。左下牙槽窝放置骨胶原塞(图十)。

内外斜脊       Last     Next      内外斜嵴    智齿拔除

Xin Wei, DDS, PhD, MS 1st edition 07/30/2021, last revision 07/31/2021