![]() |
![]() |
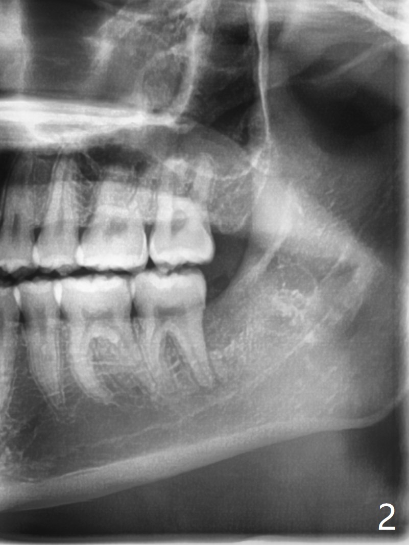
Bone Loss
A 15.5-year-old woman with poor oral hygiene has pericoronitis at #17 extending to the left 2nd molar, corresponding to bone loss between them (Fig.1 ^). After extraction, a piece of Osteogen plug is placed horizontally as mesial as possible (Fig.2).
Return to Plug Xin Wei, DDS, PhD, MS 1st edition 09/08/2020, last revision 09/08/2020