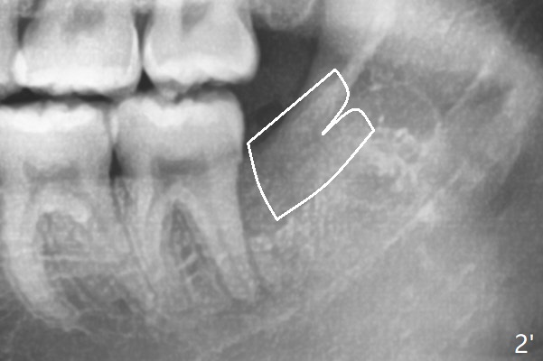
White outline is the orientation (horizontal) and relative position (as mesial as possible) of the Osteogen plug.  One end happens to have been cut.

Bone Loss     Last     Next

Xin Wei, DDS, PhD, MS 1st edition 09/08/2020, last revision 09/08/2020