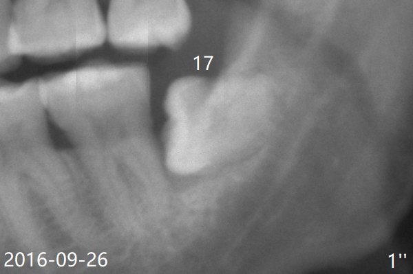
A 51-year-old man returns for #17 extraction 3.5 years post #32 one (Fig.1,2).  The bone distal to #18 is lost severely (Fig.1). 

rhPDGF-BB     Last     Next

Xin Wei, DDS, PhD, MS 1st edition 03/12/2020, last revision 03/12/2020