![]() |
![]() |
![]() |
2nd Lower Molar Distal Bone Graft I
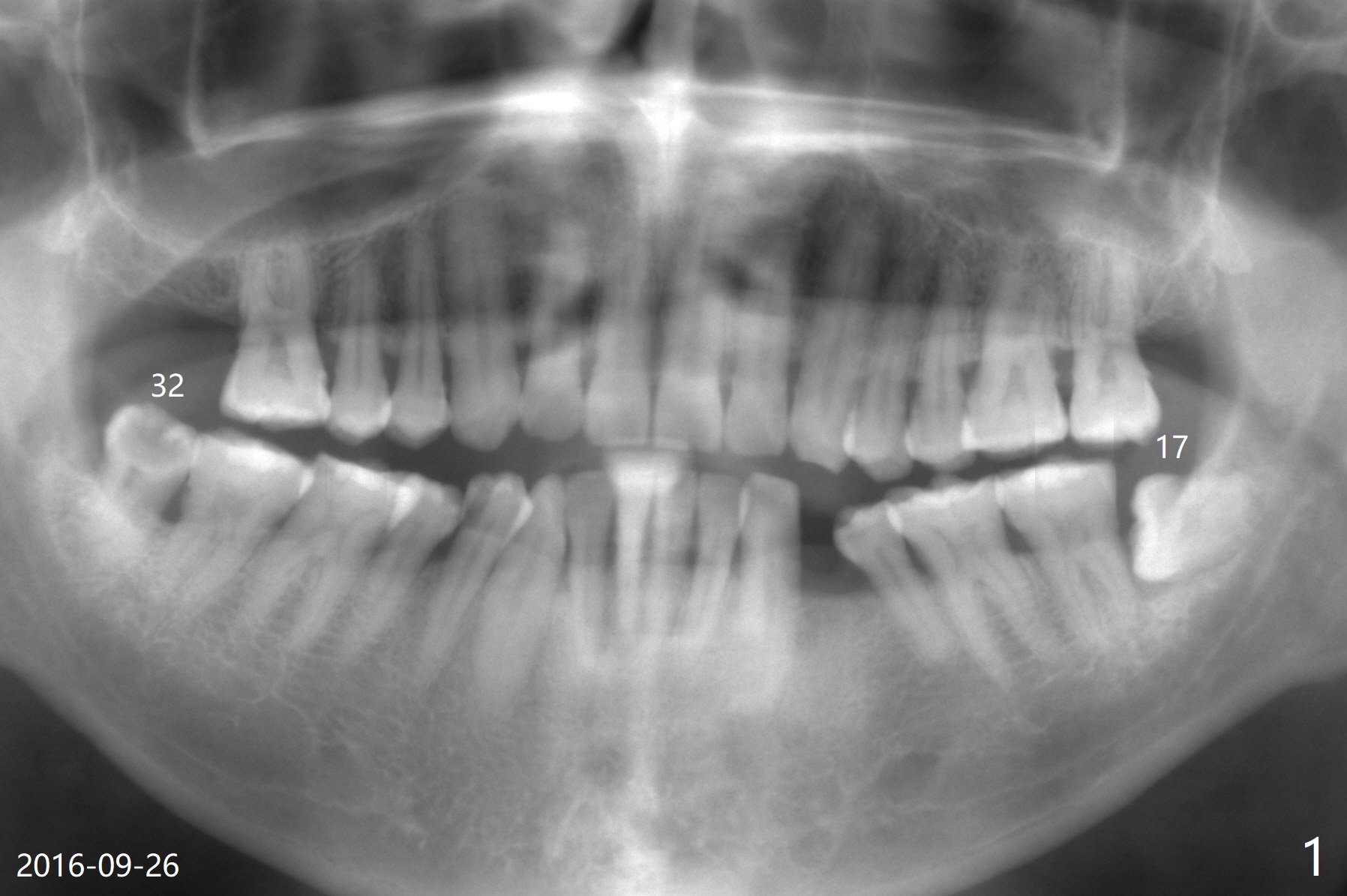
A 51-year-old man returns for #17 extraction 3.5 years post #32 one (Fig.1,2). The bone distal to #18 is lost severely (Fig.1). After #17 extraction and granu-lation tissue removal, Collagen Plug (Fig.3 C), Osteogen Plug (O) and cortical: cancellous (50: 50) mine-ralized allograft (.5-1 mm) saturated with ~ .2 ml of .3 mg/ml of rhPDGF-BB (B, one component of GEM21S) is placed in the socket. The patient returns with chief complaint of referring pain to the left ear 6 days postop, although the extraction wound looks fine. The mild pain (controlled by pain medication) persists 10 days and 1 month postop. The pain 1 month postop is associated with mastication. It appears that the tooth #18 is periodontally compromised. Occlusal equilibrium is required.
Return to
Plug
GEM21S
Cases
Xin Wei, DDS, PhD, MS 1st edition
03/12/2020, last revision
04/13/2020