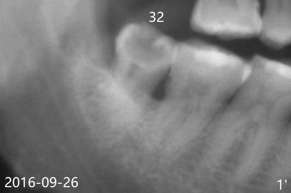
Collagen plug is placed in the extraction socket of #32.

rhPDGF-BB     Last     Next

Xin Wei, DDS, PhD, MS 1st edition 03/12/2020, last revision 03/31/2020