![]() |
![]() |
![]() |
![]() |
Cylindrical Implant for Upper Lateral Incisor
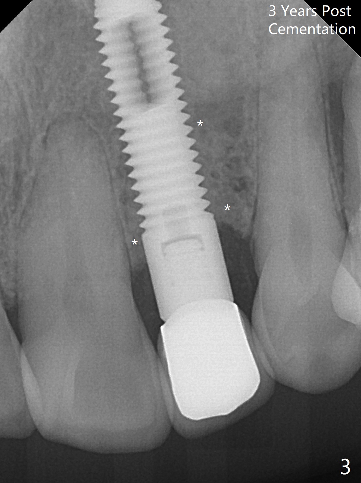
A 61-year-old man has chronic periodontitis and bruxism (Fig.1). Immediately after extraction and Clindamycin socket treatment, osteotomy is initiated with a 2 mm pilot drill at 20 mm in the lower 1/3 of palatal wall with normal saline irrigation, followed by 2.5-4 mm reamers at 20 mm (bone saved, Type III bone). A screw Implant (4.5x20 mm) is placed (45-50 Ncm, Fig.2). The root measurements were B-L 6.5 mm and M-D 5 mm. Autogenous bone is mixed SynthoGraft (size 50-500) ~ .3 g and blood. A 3.5x5 mm abutment is immediately cemented with an immediate provisional. There is positive bone growth 3 years post cementation (Fig.3 *). There is no buccal plate bone resorption 3 years 2 months post cementation (Fig.4 CT).
Return to Upper Incisor Immediate Implant Follow Up 3 12 14/15 18 30 Xin Wei, DDS, PhD, MS 1st edition 08/28/2013, last revision 08/13/2018