![]() |
![]() |
![]() |
|
![]() |
![]() |
||
Be Cautious Doing RCT for Perio Patient with Bruxism
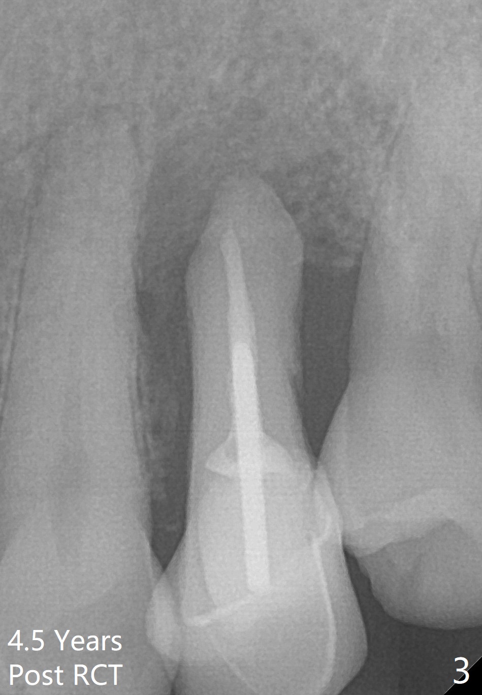
A 61-year-old man with chronic periodontitis presented to clinic for several implant placement (#3 10 14/15 18 30). For the tooth #12 (Fig.1), RCT was rendered (Fig.2). The tooth is non-salvageable 4.5 years post-treatment (Fig.3). Uneven bone loss mesiodistally makes implant placement challenging (Fig.4). A long implant will be used with ~3 mm subcrestal (mesially) and ~3 mm supracrestal (distally). A 3.5 or 4.0x13 mm implant will be placed subcrestal palatally and supracrestal buccally (Fig.5).
Return to Upper Premolar Immediate Implant, Armaments, No Antibiotic Xin Wei, DDS, PhD, MS 1st edition 02/16/2018, last revision 03/02/2019