![]() |
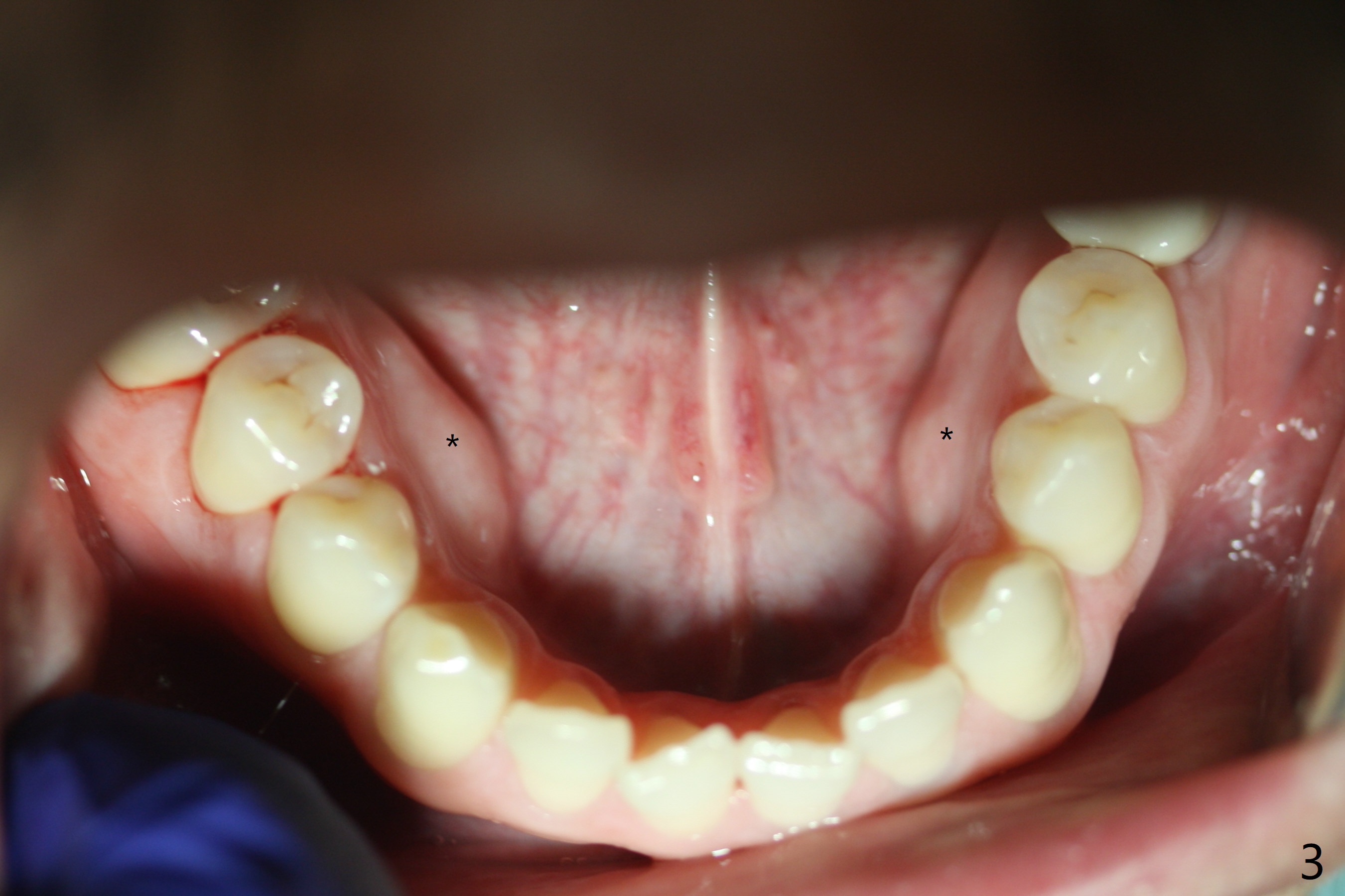
The patient must be a bruxer, as evidenced by tori mandibularis (Fig.3 *), which is related to short crown and dense bone around the coronal end of the implant.
Short Crown Last Next
Xin Wei, DDS, PhD, MS 1st edition 12/29/2018, last revision 12/30/2018