![]() |
![]() |
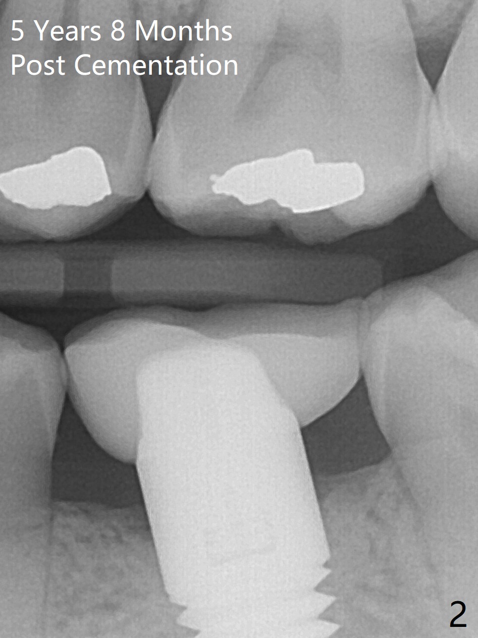
Why is the Implant Crown Short?
A 29-year-old man returns for follow up 5 years 8 months post cementation of the crown at #19 (Fig.1; 2 (bitewing)). The bone density around the coronal end of the 6x17 mm tissue-level implant (8 months post extraction without socket preservation) is high (*). Why is the implant crown (C) short?
Return to Lower Molar Immediate Implant, Trajectory, Long Term Follow-Up Xin Wei, DDS, PhD, MS 1st edition 12/29/2018, last revision 08/11/2019