![]() |
![]() |
![]() |
![]() |
Immediate Implants for Advanced Periodontitis
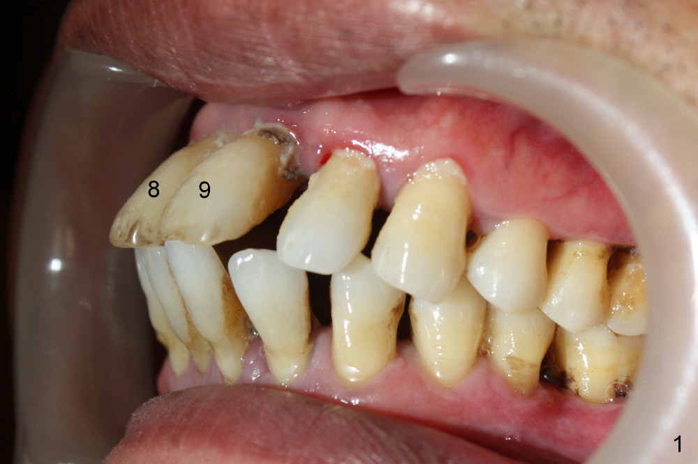
A 49-year-old man has severe chronic periodontitis. The upper central incisors are protrusive and mobile (Fig.1,2: #8,9), but the basal bone is wide and tall (BB in Fig.2). Immediate implants are going to be placed. To avoid malpositioning of the implant, initial osteotomy begins close to the palatal plate (Fig.3: P), while the axis of the osteotomy is parallel to and close to the buccal plate (>). The implant (Fig.4 pink), abutment (red) and the crown (white) will be in a favorable trajectory. To reduce protrusion, the incisal edge of the lower central will be trimmed (compare Fig.3 * and Fig.4 black area).
Full mouth debridement and scaling and root planing for the upper arch have been done.
On the day of surgery, occlusal equilibrium is to be done for the supraerupted, protrusive lower central incisors first. If there is time, scaling and root planing will be done for the lower arch. Temporary abutments will be used to fabricate immediate provisionals. Screws will be used to fix the abutment/provisional complex to avoid cement. The opening for the screw will be closed with cotton pellet and Cavit. How is the result?
Return to Professionals,
Upper Incisor Immediate Implant
Xin Wei, DDS, PhD, MS 1st edition 05/22/2014, last revision 06/07/2014