![]() |
![]() |
![]() |
||
![]() |
![]() |
![]() |
||
![]() |
![]() |
![]() |
||
![]() |
![]() |
![]() |
||
![]() |
![]() |
![]() |
![]() |
|
Difficult Implantation in Upper Incisor Healed Site
A 44-year-old lady has lost the upper right lateral incisors for 6 months (Fig.1); there are both the buccal and lingual concavities (arrowheads).
To increase buccal soft tissue bulk, the transverse incision is made lingual to the original socket (Fig.2 *). When the flaps are raised, the alveolar ridge appears to be deviated buccally; the implant (3.8x14 mm, insertion torque ~ 35 Ncm) also looks to be tilted too buccally even though it is placed in the middle of the ridge (Fig.3). An angled abutment (3.9 mm, 25º, 2 mm cuff, Torx A) has been adjusted buccally (Fig.4). The immediate provisional looks long (Fig.5). When the buccal flap is modified (Fig.5 insert) and sutured (Fig.6), the provisional looks to be tilted buccally. A custom Zirconium abutment should be used later on. All of these difficulties are due to delayed implantation with bone atrophy and are avoidable using immediate implant technique. Or check occlusion at the initial stage of osteotomy.
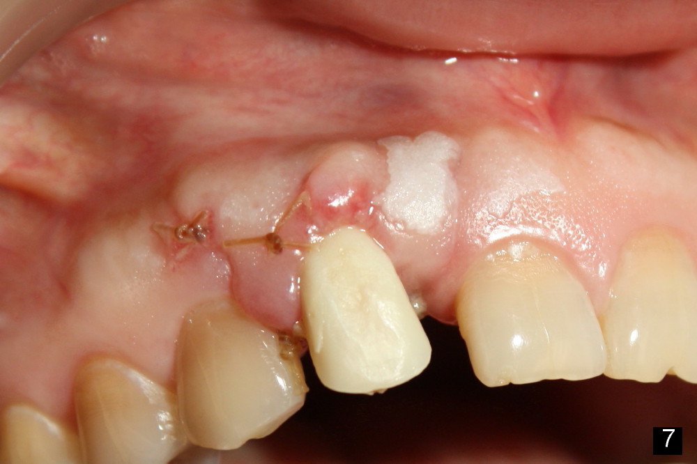
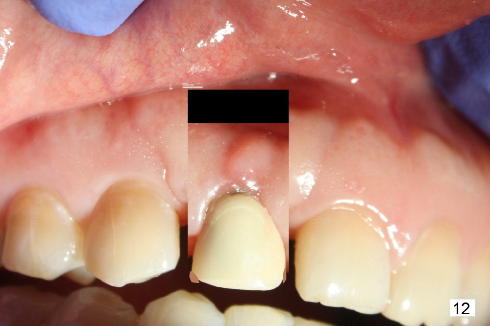
Fig.7,8 show the provisional 10 days and 1.5 months postop, respectively. When the provisional is removed, the implant/abutment is buccally malpostioned (Fig.9). It appears that segmental osteotomy is necessary. Fig.10 shows incision design. The implant and bone complex is to be moved to an ideal position (Fig.11,12). A block graft is inserted apically for internal fixation. An ortho wire is used for external fixation.
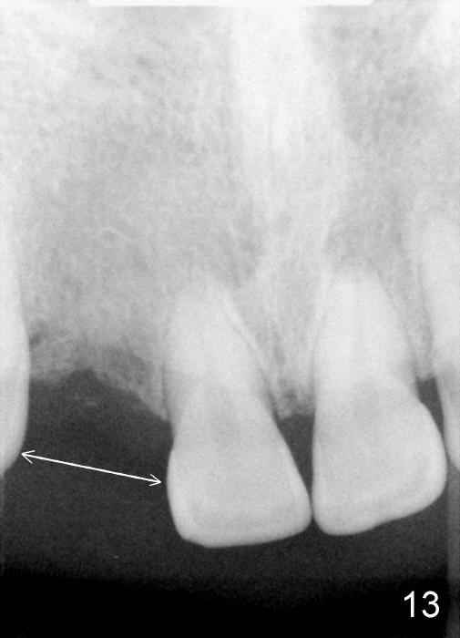
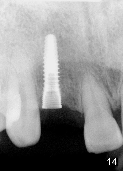
Preop PA shows that the edentulous space is extraordinarily wide mesiodistally (Fig.13 double arrows). There should be enough room to place osteotomy lateral to the implant (3.8x14 mm, Fig.14, immediately post placement).
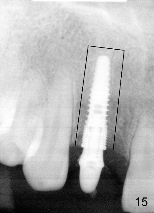
PA in Fig.15 is taken 1.5 months postop. It appears that there is enough space to make osteotomy around the implant (black outline) and move the segment coronally (Fig.16).
Prevention of malpositioning seems to be critical. How to fix the malpositioned implant? What is the result?
Return to Upper Incisor Immediate Implant,
Professionals
Xin Wei, DDS, PhD, MS 1st edition 03/18/2014, last revision 07/18/2014