![]() |
![]() |
![]() |
PRF with Sinus Lift
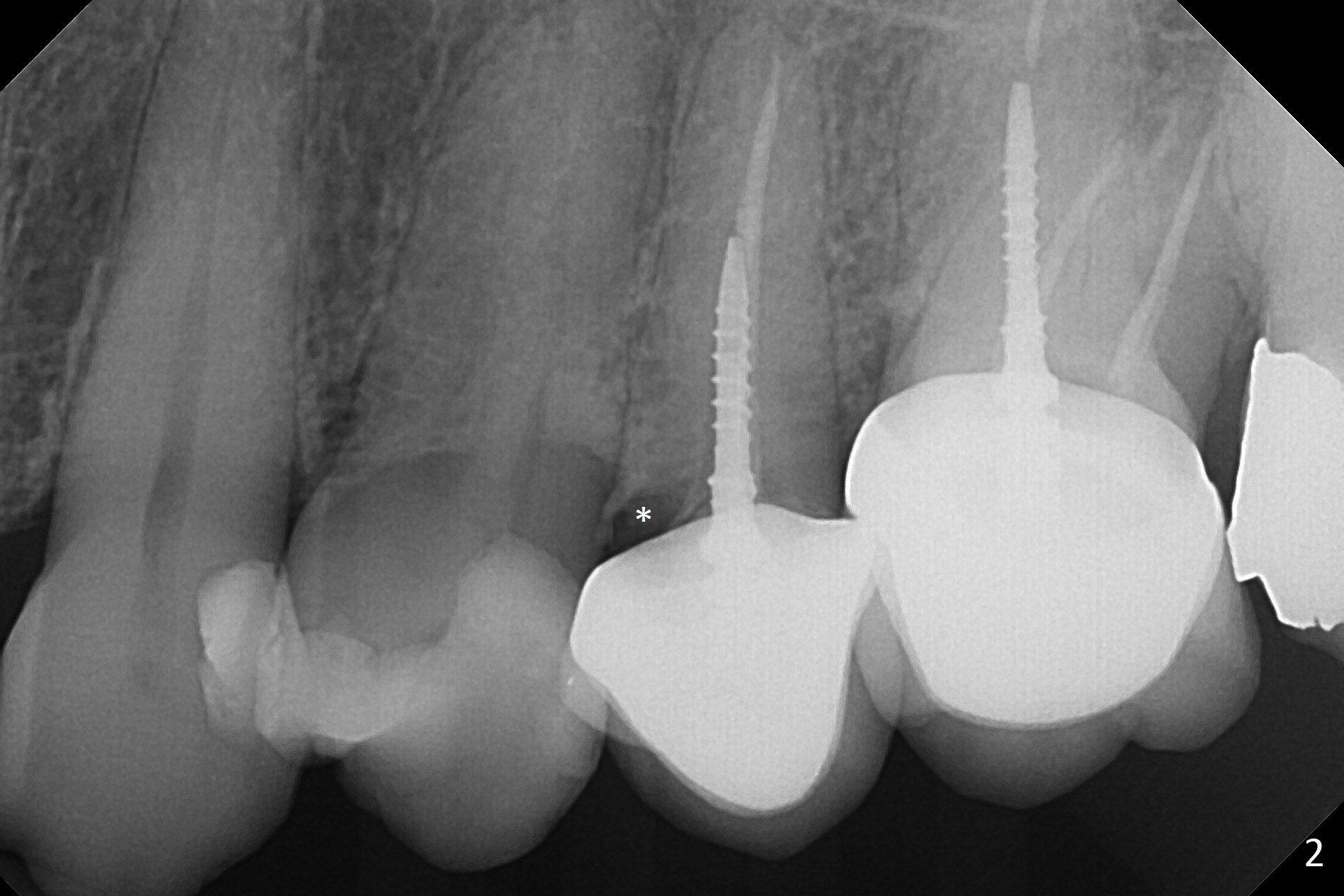
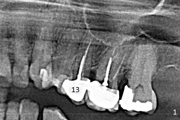
A 60-year-old woman returns to office with chief complaint "upper left crown is loose again". Clinical exam confirms #13 crown fracture at the gingival level (Fig.1,2 *). Since the native bone is short, an implant (Fig.3 green) should penetrate the sinus floor for primary stability. To protect the sinus membrane, PRF membranes (purple curved line) will be inserted prior to bone graft (red circles) and the implant. A pair abutment is expected to be 5x5 (5.7 exactly, blue) (Fig.3, pink) mm. The implant should be placed palatally to avoid buccal metal show through.
Return to
Upper
Premolar Immediate Implant,
IBS,
Metronidazole,
T1,
Placement,
MAGIC FC
植入方法,
Chinese,
7
29
Xin Wei, DDS, PhD, MS 1st edition 04/28/2017, last revision 10/28/2019