![]() |
![]() |
![]() |
![]() |
![]() |
![]() |
![]() |
![]() |
![]() |
2-Pointed Engagement: Executed as Planned
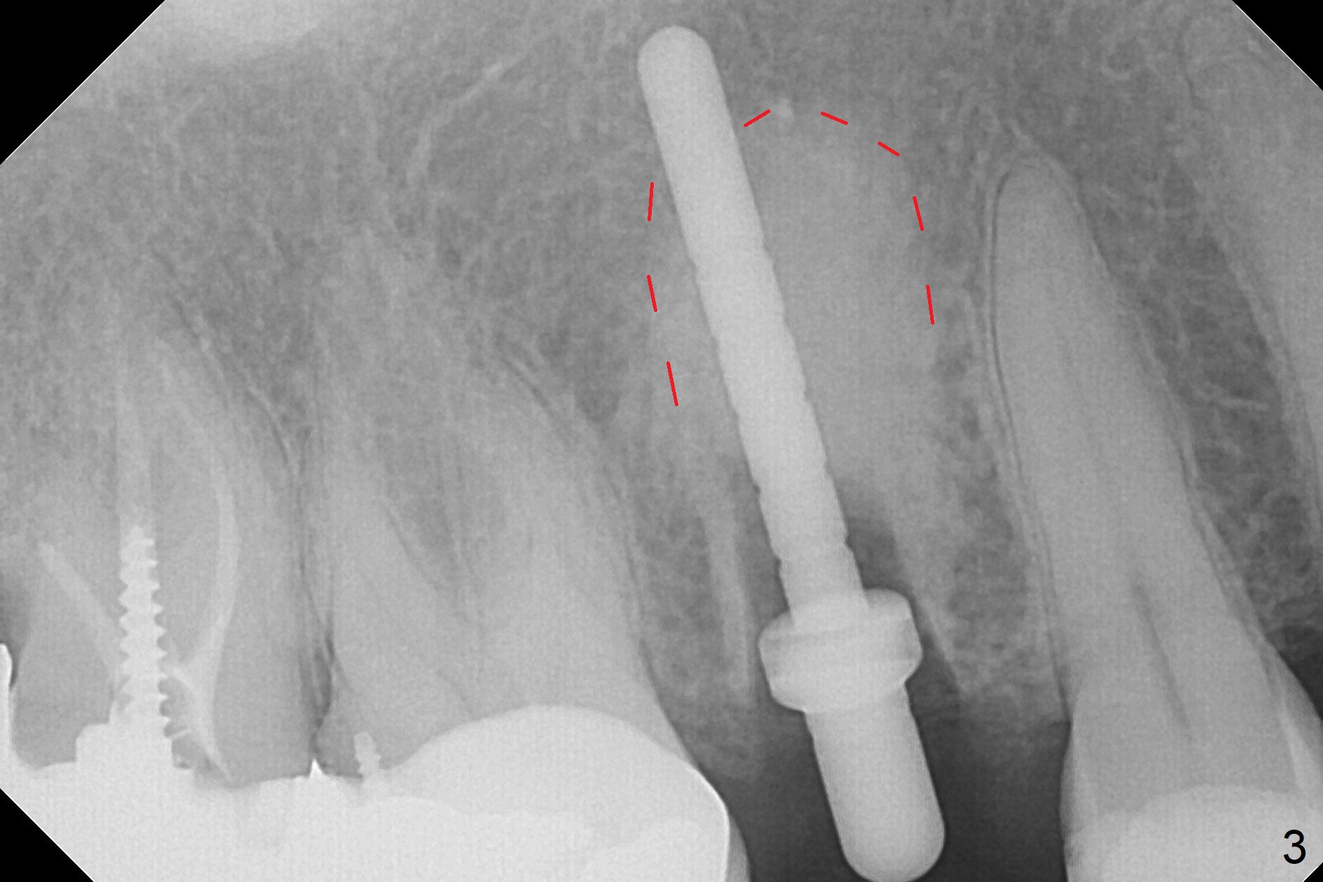
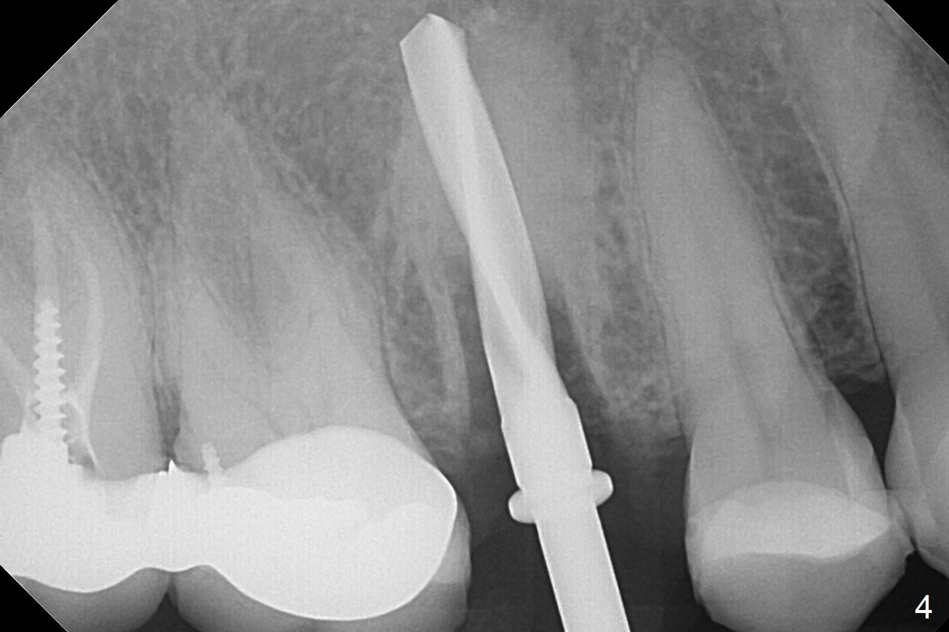
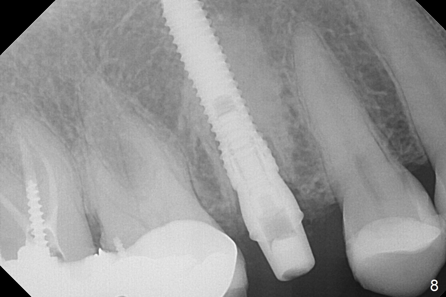
After extraction of the tooth #4 with palatally subgingival fracture (Fig.1 ^), white hard tissue is found in the socket, the density of which is hard (Fig.2 D). When osteotomy passes this portion of the bone (Fig.3 red dashed line), bone density feels reduced suddenly. The osteotomy is moved mesially slightly (Fig.4 (2.7 mm drill)). When a 3.8x15 mm dummy implant is placed with stability, there is an apical space (Fig.5 red dashed line). Therefore the final implant is longer (3.8x18 mm, <30 Ncm, Fig.6, 7). Vanilla graft is placed around the implant and a 4.5x4(4) mm abutment is placed immediately for an immediate provisional (Fig.8). Although the provisional easily dislodges in spite of remake, the implant seems osteointegrated with decreased space 4 months postop (Fig.9). The gingiva is healthy, although it covers the abutment margin partially. Gingivectomy appears necessary for impression.
Return to
Upper Premolar Immediate Implant,
IBS
Xin Wei, DDS, PhD, MS 1st edition 08/25/2017, last revision 12/31/2017