Vanilla graft is placed around the implant (vaguely shown) and a 4.5x4(4) mm abutment is placed immediately for an immediate provisional (Fig.8).

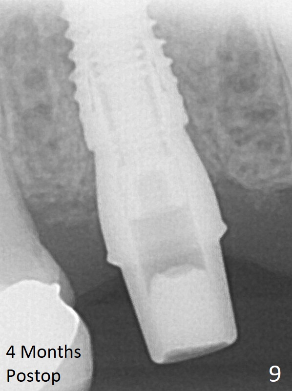
Although the provisional easily dislodges in spite of remake, the implant seems osteointegrated with decreased space 4 months postop (Fig.9).  The gingiva is healthy, although it covers the abutment margin partially.  Gingivectomy appears necessary for impression.

2-Pointed Engagement

Xin Wei, DDS, PhD, MS 1st edition 08/24/2017, last revision 12/31/2017