![]() |
![]() |
![]() |
![]() |
![]() |
![]() |
![]() |
![]() |
![]() |
![]() |
![]() |
Failed Placement Due to Insufficient Thread Engagement
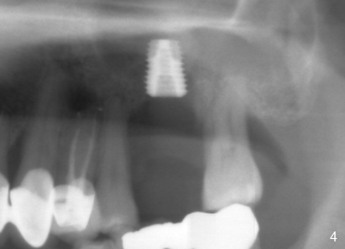
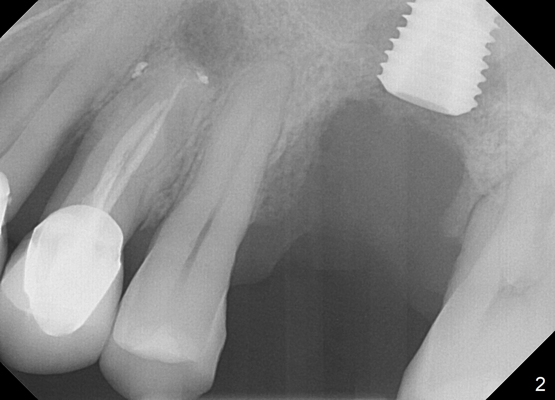
When the tooth #14 is extracted, the buccal plate is lost, while the apex of the palatal socket is perforated. The palatal slope of the septum appears to be a suitable site for osteotomy, but the depth seems to be 2 mm. After sequential osteotomy until 5.3 mm with drills, a 5.9 mm SM tap obtains stability (Fig.2). A 5.9x8 mmm implant is placed with barely sufficient stability after 1 piece of PRF membrane and VeraGraft (Fig.2-4). The implant rotates and dislodges when an abutment is being placed. Neither do 6-8x17 mm Tatum taps achieve primary stability. Socket preservation is performed, followed by periodontal dressing (Fig.5). Primary stability might have been obtained if a smaller IBS implant with fins were placed in the palatal socket. The periodontal dressing has dislodged 1 week postop; the socket appears healing (Fig.6,7). Bone graft seems to be minimal or bone density of the graft is low (Fig.8). The socket heals with a wide ridge 2 months post socket preservation, but the tooth #15 seems to be buccal (Fig.9) and mesial (Fig.10) shift. After use of Magic Split and Expanders (until 3.8 mm for 13 mm), try 5 mm dummy implant (Fig.11). If 6 mm one fails to achieve stability substantially, switch to 7 mm Tatum tapered tap provided there is enough mesiodistal space (use 8 mm implant positioner to gauze the space beforehand (preop)). Consider using Vanilla (not Vera) Graft to fill in the gap between implant and osteotomy. When primary stability is obtained, place a nonfunctional provisional to prevent further shifting (Fig.11 white outline). After osteointegration, use the provisional (reline and separator) to distalize the tooth #15.
Return to
Upper
Molar Immediate Implant, Prevent
Molar Periimplantitis (Protocols,
Table),
#25,
Course
2
3
4,
Similar Case
Xin Wei, DDS, PhD, MS 1st edition 08/04/2017, last revision 04/08/2018