![]() |
![]() |
![]() |
![]() |
Stop Transition From Periodontitis to Periimplantitis
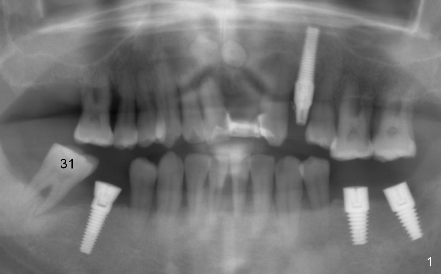
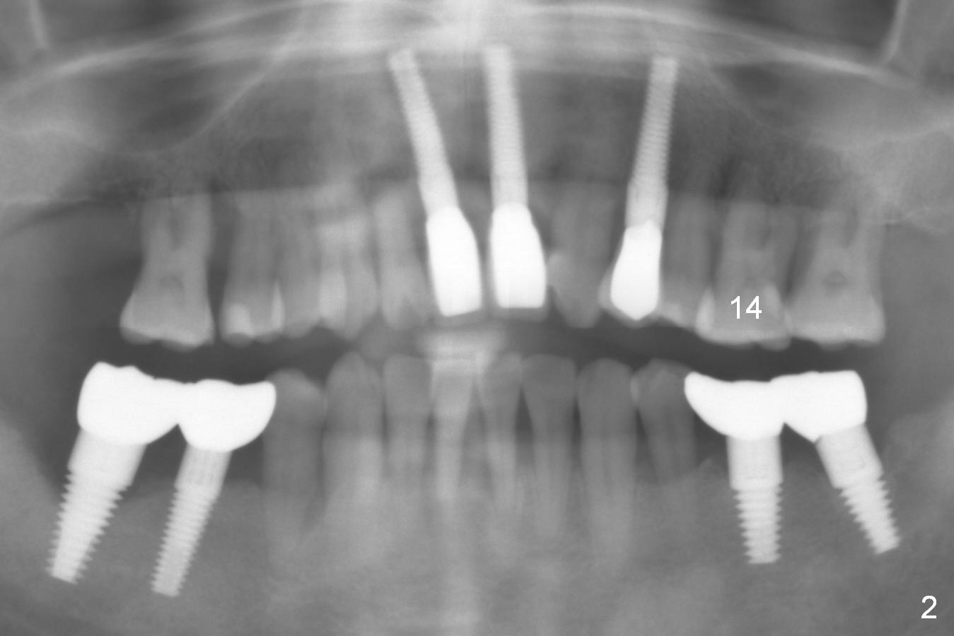
A 44-year-old man is a typical patient with chronic periodontitis (Fig.1). Periimplantitis develops following immediate implant at #31 (Fig.2). The symptom (bleeding) improves after bone graft and use of Water Pik. Now the tooth #14 appears to be non-salvageable because of gingival hemorrhage and deep pockets after previous osseous surgery. To prevent periimplantitis, an immediate implant does not need to be large or long. It has to be placed deep, and in the middle of the native bone, surrounded by bone graft. To facilitate wound healing, draw 3 tubes of blood for PRF. One of them is processed for plug in case of sinus lift. To prevent the buccal gingiva collapse, the buccal portion of the immediate provisional should extend into the socket. If the gingiva is around 4 mm, use IBS implant (Fig.3,4). Otherwise, a SM implant will be used after extraction (Clindamycin), since abutments have cuffs as long as 4.5 and 6 mm so that it is easy to place an implant as deep as possible. Initial depth will be 9 mm (bone-level), followed by Magic Drill (5.3 mm, if possible) and Magic expanders (4.3x10 and 4.8x11 mm, bone density 26-300 units).
Return to
Upper
Molar Immediate Implant, Prevent
Molar Periimplantitis (Protocols,
Table)
Xin Wei, DDS, PhD, MS 1st edition 12/20/2016, last revision 08/18/2018