![]() |
![]() |
![]() |
![]() |
![]() |
|
![]() |
![]() |
![]() |
![]() |
||
Sequential Ostetoomy in Septal Slope
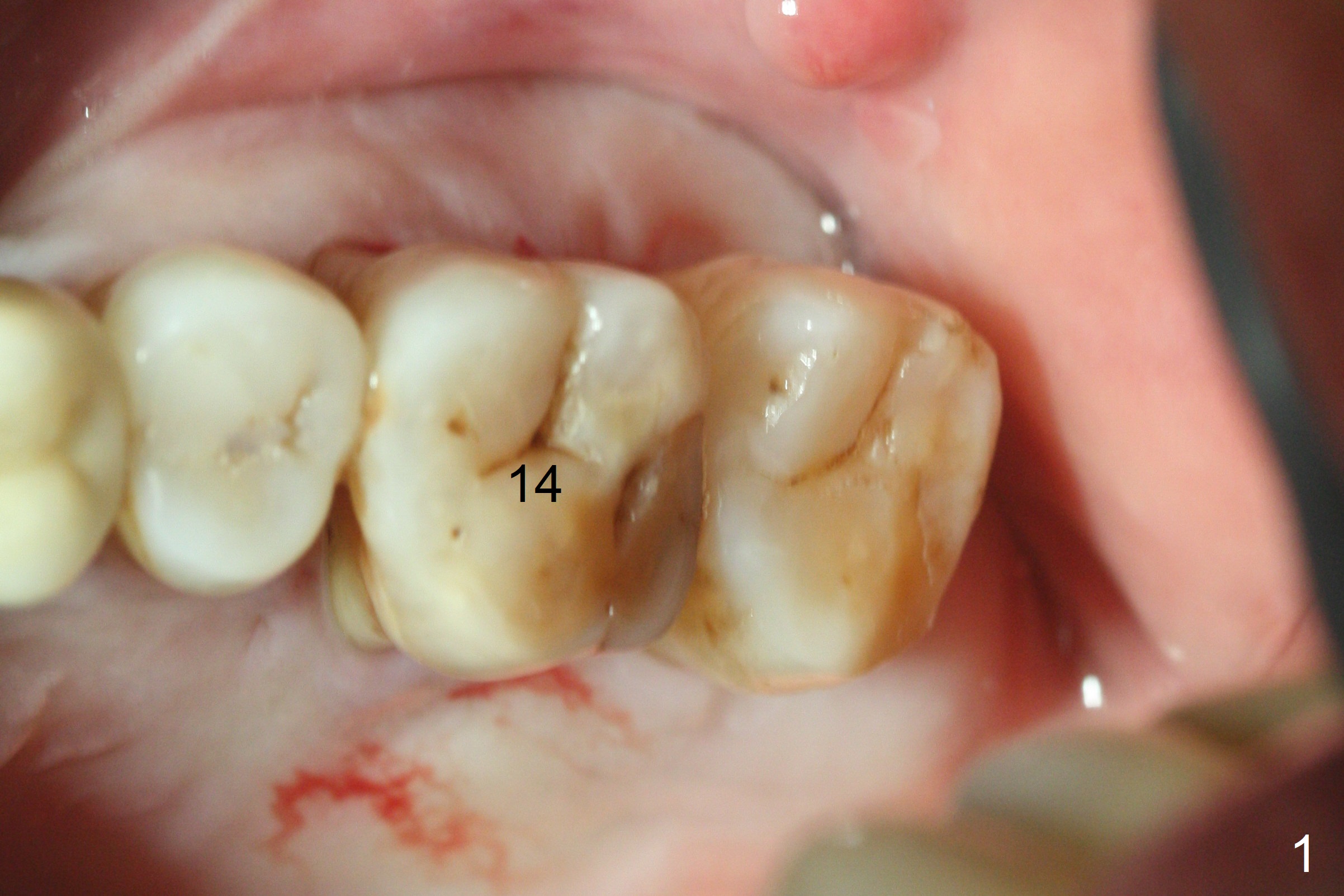
The ridge over the mobile tooth #14 is wide, suggesting bruxism pathogenesis (Fig.1). In spite of calculus over the roots of the extracted tooth (Fig.2), the septum remains. Osteotomy is initiated in the palatal slope of the septum (Fig.3,3' red dashed line). A 4.3 mm Magic Drill (MD) cannot bite into the bone probably because of the slope. Sequential osteotomy has to be done, starting with the smallest MD until 4.8 mm one. A 5x9 mm dummy implant is placed with 50 Ncm (Fig.4). To place 5x11 mm IBS implant (Fig.5), 5.3 mm MD has to be used; prior to implant placement, sinus lift is accomplished with mixture of autogenous bone and Vanilla graft (white *); more allograft (black *) is placed around the implant before insertion of a 6x5.7(3) mm abutment. More allograft is placed around the abutment (Fig.6 *) prior to an immediate provisional fabrication. The grafted bone appears to become the native bone, although at the low density, 6.5 months postop (Fig.7). The implant at #14 appears to have been placed in the middle of the alveolus buccopalatally (Fig.8).
Return to Upper Molar Immediate Implant, Prevent Molar Periimplantitis (Protocols, Table), #3,28, 31, Chinese, #15 Xin Wei, DDS, PhD, MS 1st edition 08/28/2017, last revision 08/20/2019