![]() |
![]() |
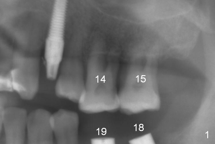
Intrusion for Implants
The teeth #14 and 15 of a 42-year-old man are supraerupted when implants are placed at #18 and 19 (Fig.1). Intrusion takes 6 months with 3 mini-implants. Fig.2 is taken 2 years after treatment.
Return to
Implant & Ortho
2
Xin Wei, DDS, PhD, MS 1st edition 12/25/2016, last revision 02/19/2017