![]() |
![]() |
![]() |
|
![]() |
![]() |
![]() |
|
![]() |
![]() |
![]() |
|
![]() |
Osseous Surgery Prior to Orthodontic Intrusion
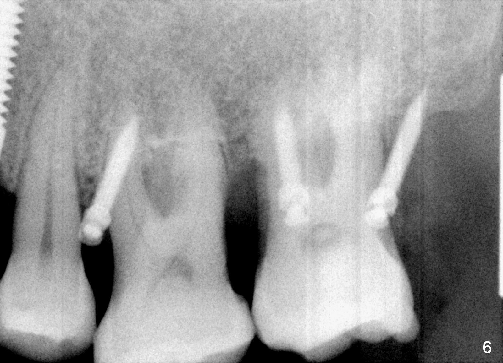
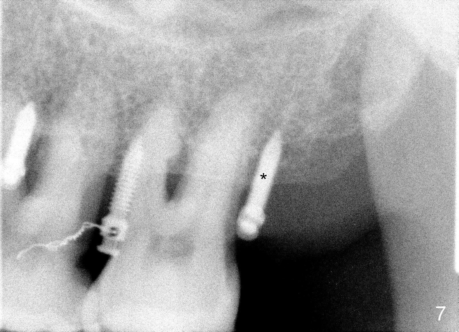
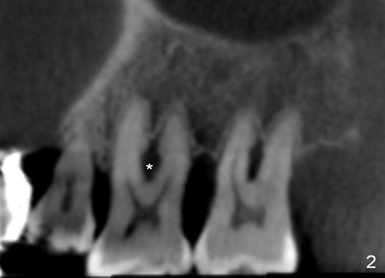
A 41-year-old man has chronic periodontits with bruxism. The teeth #14 and 15 are supraerupted (Fig.1 arrows) with furcal lesion (Fig.2 (CT) *). These 2 molars have guarded to poor prognosis. Due to insurance benefit limitation, we plan to save them temporarily with periodontal surgery so that bone loss would not get worse when the teeth are being intruded. After opposing implant placement (Fig.3), flaps are raised to remove calculus and granulation tissue (Fig.4, no bone graft). Twenty days later, three mini-implants are placed (Fig.5,6). The implant distopalatal to #15 is loose nearly 2 months postop (Fig.7 *) and retightened. The following month the same implant is placed higher for stability (Fig.8). The Intrusion takes <5.5 months (Fig.9,10).
Return to
Implant & Ortho
2
Xin Wei, DDS, PhD, MS 1st edition 12/27/2016, last revision 02/19/2017