![]() |
![]() |
![]() |
![]() |
![]() ![]() |
![]() |
![]() |
![]() |
Avoid Extraction of 3rd Molar for Primary Stability
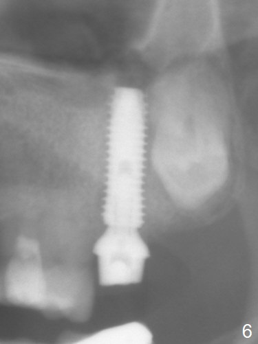
Extraction of the tooth #15 with short clinical crown (suggesting bruxism, Fig.1) reveals a vertical root fracture (Fig.2 <). It seems unnecessary and difficult to create osteotomy in the mesial slope. What can be done is to place starter and 2 mm drills as mesial as possible (Fig.3 (red dashed line: sinus floor). After use of Lindamann bur to move the osteotomy mesially and sequential osteotomy until 3.8x18 mm, a 4.5 mm tap is inserted with clearance from the impacted tooth #16 (Fig.4). A 5x15 mm implant is placed with >60 Ncm with clearance from the 3rd molar (Fig.5,6). If the impacted tooth were removed, the primary stability is expected to be reduced. Impression is taken 6 months postop with 19/20 implants (Fig.7). The bone graft remains in the crestal area immediately and 11 months post cementation (Fig.8,9 *). In the other word, new crestal bone forms after extraction.
Return to Upper Molar Immediate Implant, Prevent Molar Periimplantitis (Protocols, Table), IBS, #29/30 Xin Wei, DDS, PhD, MS 1st edition 08/29/2017, last revision 02/17/2019