![]() |
![]() |
![]() |
![]() |
Section FPD Twice
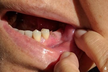
A 64-year-old woman has a lower left FPD (Fig.1) with the abutment at #20 having open margin (*). The tooth seems to be non-salvageable and to be replaced by an implant. There is ~ 6 mm native bone (Fig.2). Mesial osteotomy should be safer than orthodox one (Fig.3). To have the best reference, the FPD will be first sectioned between #19 and 20 (Fig.3 red line). Initial depth will be 18 mm (gingival level). An implant will be placed using the pontic at #19 and the tooth #21 for orientation guide. After placement of an abutment at #20 and use of gauze to seal the socket, the FPD will be sectioned between #18 and 19. It appears that the tooth #20 and probably #18 have fractured (Fig.4). Implants will be most likely placed at #18 and 20. The existing bridge will be used as a provisional.
Return to
Lower Bicuspid
Molar Immediate Implant,
IBS,
No Antibiotic, #15,29/30
Xin Wei, DDS, PhD, MS 1st edition 10/08/2017, last revision 10/24/2017