![]() |
![]() |
![]() |
|||
![]() |
![]() |
![]() |
![]() |
![]() |
|
![]() |
![]() |
||||
Narrow Ridge
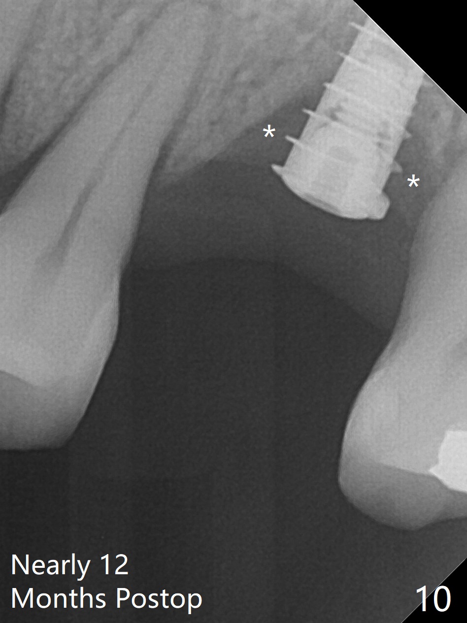
Preop exam shows the narrow ridge at #14. Magic split is used for access and initiation of osteotomy and bone expansion, followed by 3 mm Magic Expander for 11 mm (ME, Fig.1 (yellow line: sinus floor)). In fact the bone is soft. After use of 3.8 mm ME and Lindamann bur (to move the osteotomy distobuccally), a 4x11 mm dummy implant is placed with 20 Ncm (Fig.2). Following use of Lindamann bur for the same purpose as mentioned above, a 4.5x9 mm IBS implant is placed 3 mm subgingival with <30 Ncm (Fig.3,4). Bone graft is placed for sinus lift prior to implantation. A 5x3 mm healing abutment is placed. Bone loss is minimal 3.5 months postop (Fig.5) and striking 8 months postop (after crown cementation, Fig.6-8). The bone loss persists in spite of crown and abutment removal (Fig.9,10). Bone graft or implant redo is planned.
Return to
Upper
Molar Immediate Implant
#2
Xin Wei, DDS, PhD, MS 1st edition 07/27/2017, last revision 07/18/2018