![]() |
![]() |
|
![]() |
![]() |
|
![]() |
![]() |
![]() |
![]() |
![]() |
|
Distalization of 2nd Molar
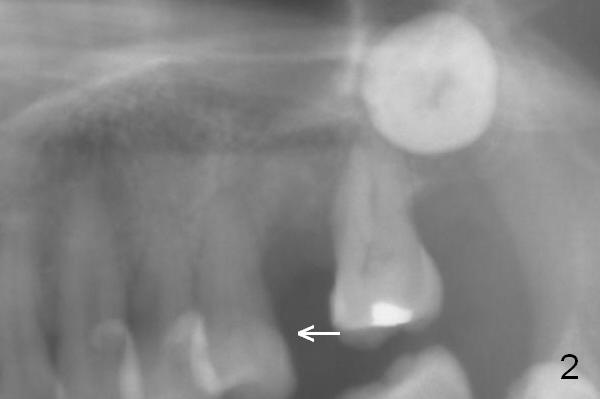
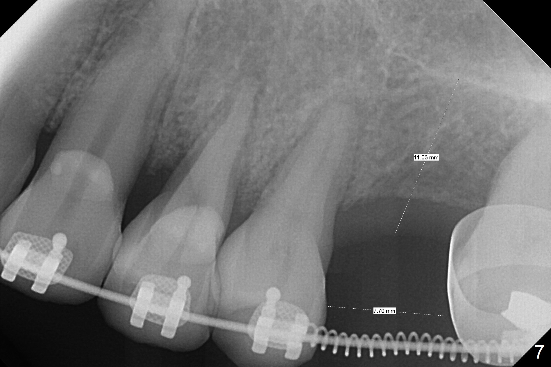
A 54-year-old woman had #14 extracted in China 1 year ago (Fig.1,5). The tooth #15 has undergone mesial shift and tilt (Fig.2,4, as compared to Fig.3). The edentulous space is too narrow for implant placement (Fig.6). It appears that traditional orthodontic appliance should be placed from UR6 to UL7 in addition to a mini-implant distal to UL7. Take Alginate impression before treatment. Since the implant at UR7 is placed apparently too deep, a band will be placed when it is initially osteointegrated (6-8 weeks postop). Fabricate a well-fit provisional with permanent cementation before banding. In fact, brackets and bands are placed between UR3 and UL7. In 6 months, the meisodistal space at #14 is enough to place an implant (Fig.7).
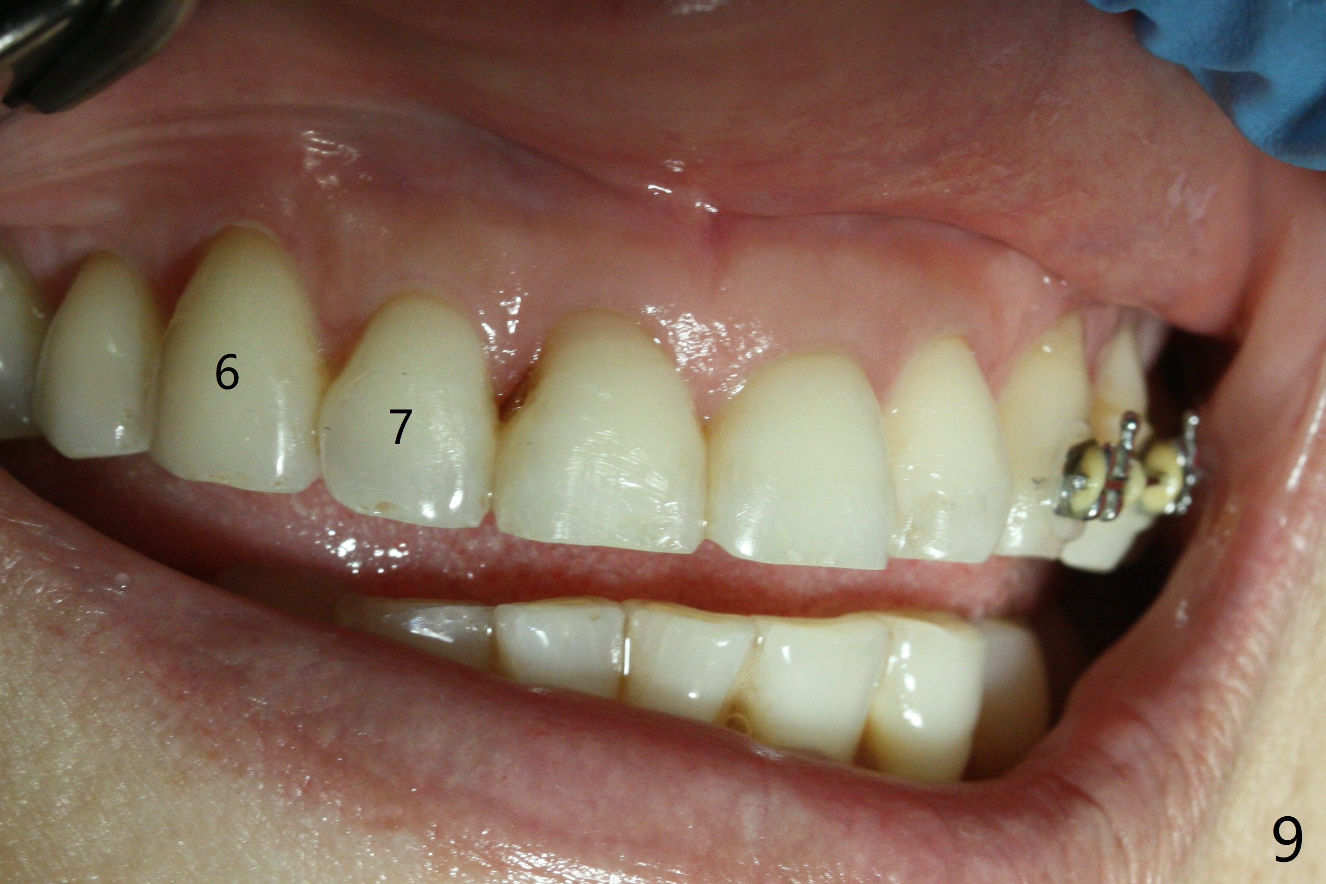
Seven months of orthodontic treatment and 2 months post implant placement, the edentulous mesiodistal space appears to return normal, but the implant has pain when the healing abutment is retightened (Fig.8). Since the patient is going to return home country for reunion, the last two anterior brackets at #6 and 7 are remove and the arch wire is shortened for cosmetics (Fig.9).
Return to
Upper
Molar Immediate Implant, IBS
Xin Wei, DDS, PhD, MS 1st edition 09/05/2016, last revision 01/19/2018