![]() |
![]() |
![]() |
|
![]() |
![]() |
||
![]() |
![]() |
![]() |
|
Implants that Maintain Poor Dentition
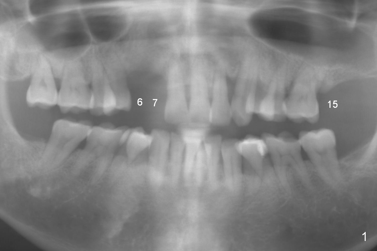
A 54-year-old man has crowded dentition with moderate to advanced periodontitis (Fig.1) and bruxism (exostosis (Fig.6 *)). It is essential to re-establish complete dentition by placing implants at #6, 7 and 15 initially and more when other teeth are lost. The ridge at #6 and 7 is moderately atrophic (Fig.7), while that at #15 severely atrophic (Fig.8). Due to narrow mesiodistal space at #6 and 7 (Fig.2), narrow and 1-piece implants may have to be placed (Fig.3).
The bone height at #15 is unfavorable (Fig.4). Use 1.6 mm drill for 6 mm to start osteotomy, followed by Magic Expanders (BEB). Since the restorative height is limited due to long-standing edentulism with the supraerupted opposing tooth (Fig.5), consider using Magicore (blue). Use the bone condenser with stopper from Sinus Master kit for sinus lift. Place bone graft distally (red circles), followed by resorbable and nonresorbable collagen membranes (green curved line).
Return to
Upper
Arch Reconstruction,
IBS
Xin Wei, DDS, PhD, MS 1st edition 10/23/2016, last revision 01/19/2018