![]() |
![]() |
![]() |
![]() |
![]() |
![]() |
![]() |
|
Wide, Think Gingiva and Narrow Bone
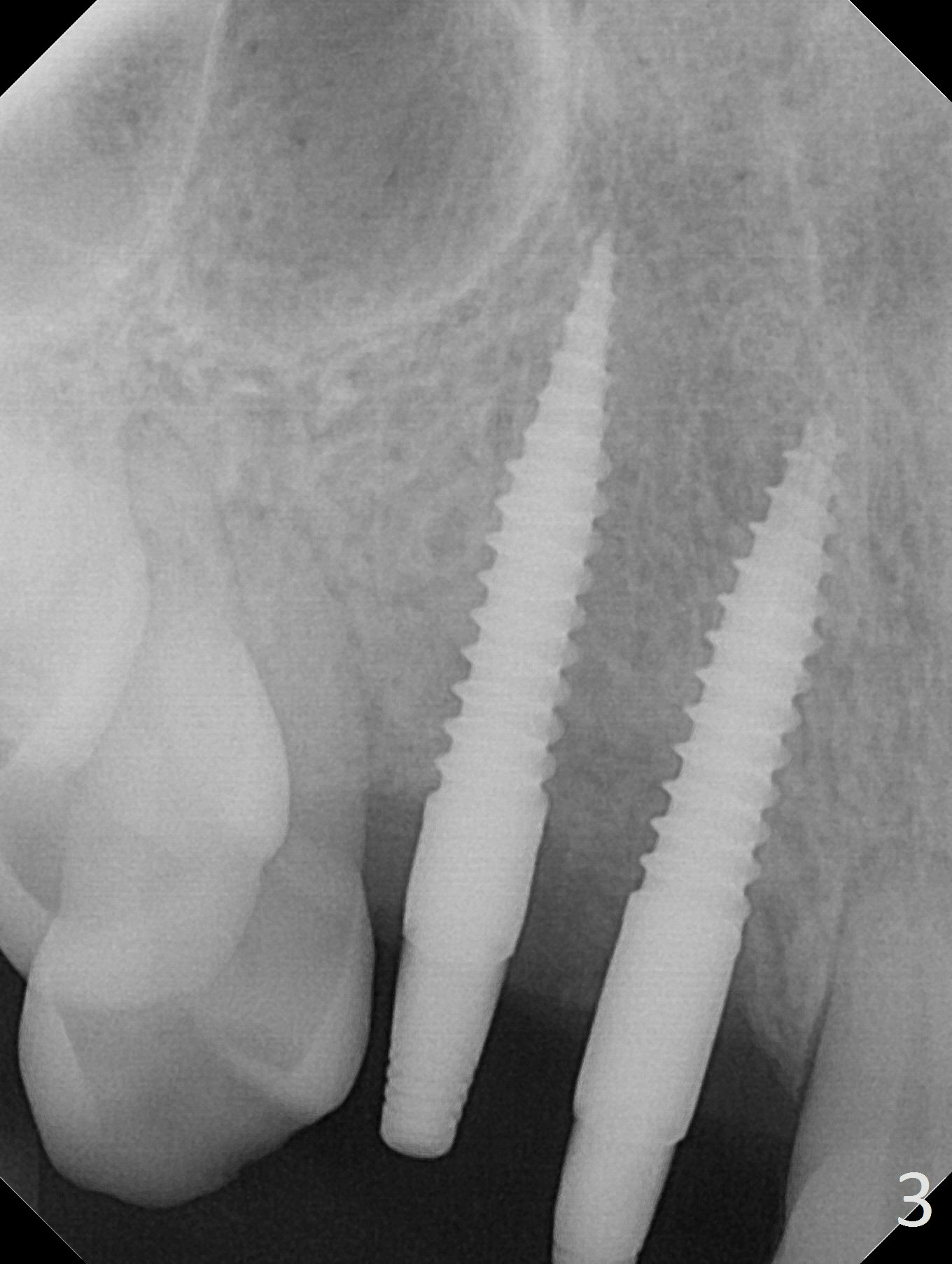
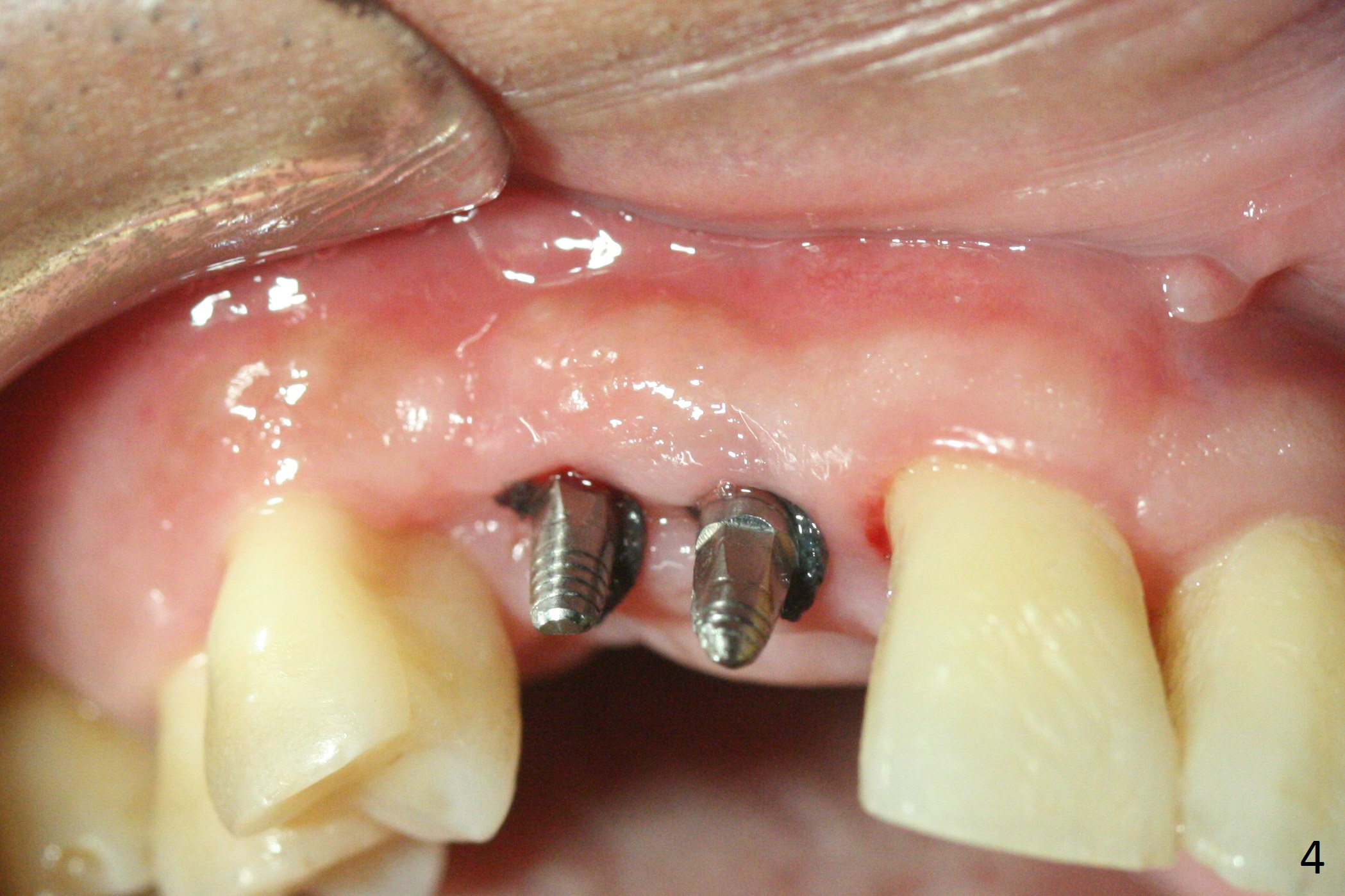
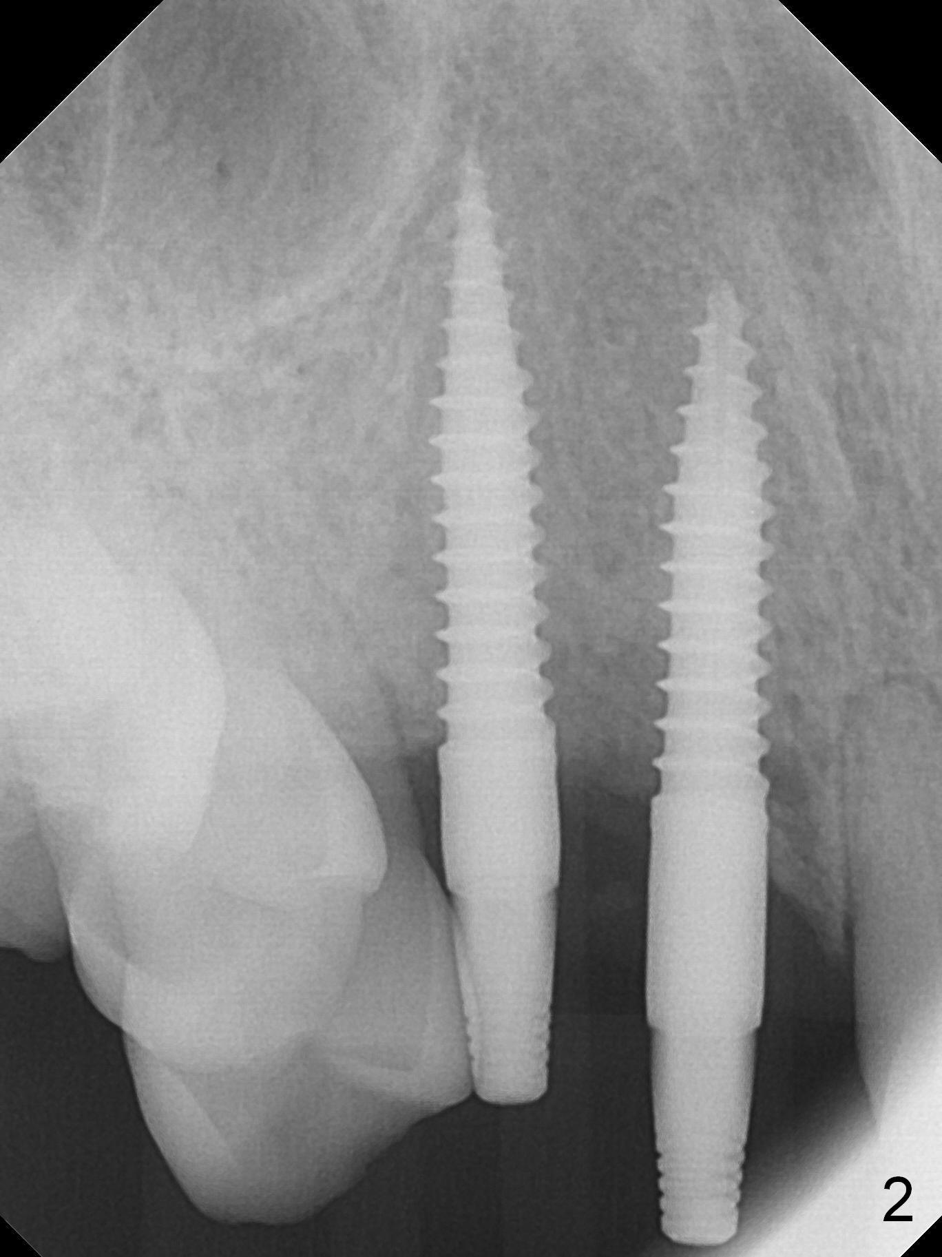
The ridge at the sites of #6 and 7 looks wide, but the bone is narrow (~ 4 mm) when the flaps are raised. Two of 3 mm 1-piece implants (3x16(2) and 3x14(4) mm) are placed (Fig.1,2). The other advantage of use of 1-piece implants is the narrow mesiodistal space. In fact the gingiva is wide and thick (4 mm). It is ideal to place implants with 4 mm cuff; unfortunately there is no 3x16(4) mm implant available at the site of #6. After adjustment of the abutment at #7, a splinted provisional is fabricated. Due to the shortness of the abutment at #6, definitive crowns may have to be splinted. Water Pik has been recommended.
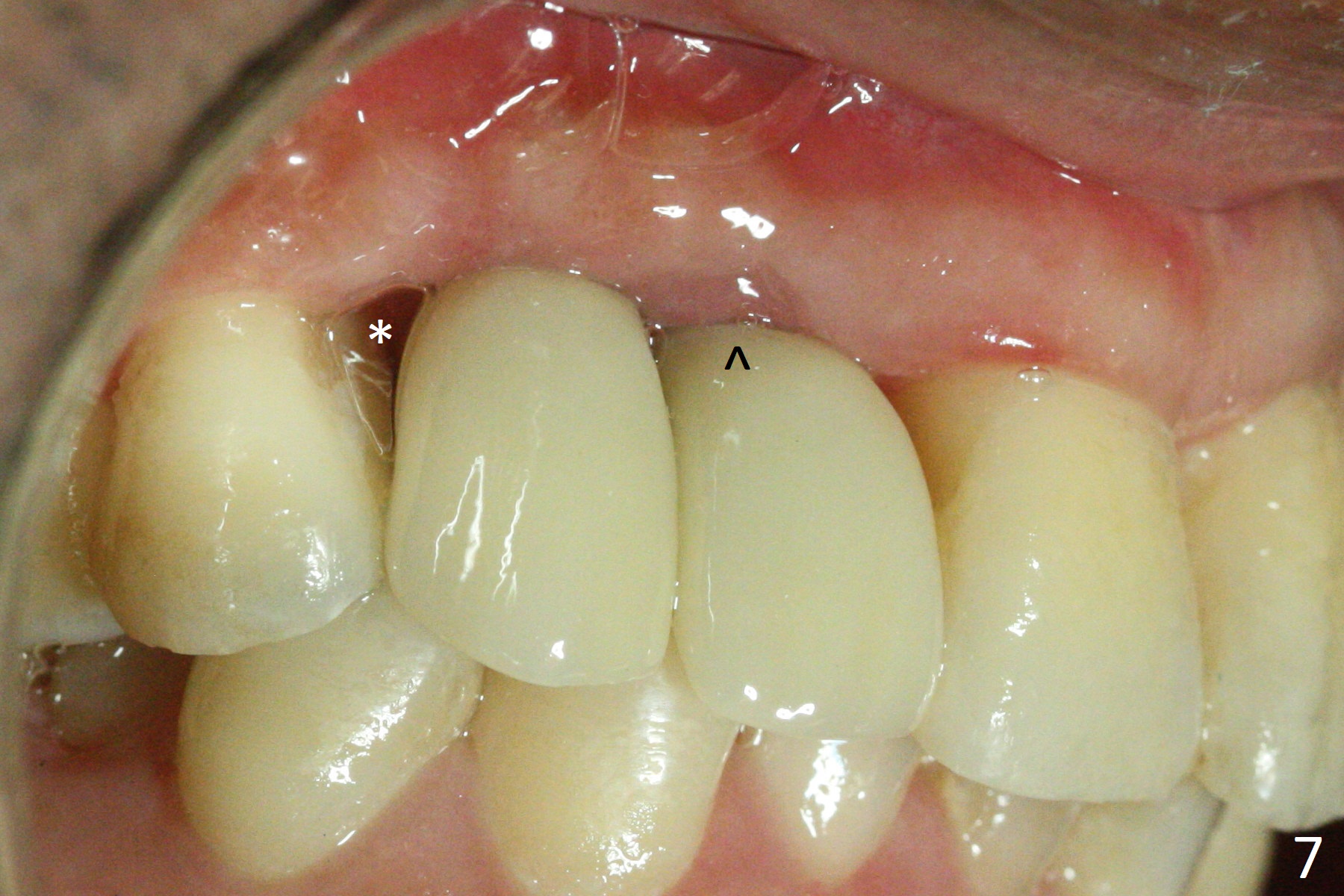
There is no bone loss 3 months postop (Fig.3). After reprep (Fig.4), shades are selected for the final crowns (Fig.5). Before crown cementation at #6 and 7, the patient notes asymmetry with the teeth on the other side (Fig.6). Our concerns are the lack of the papilla distal to #6 (Fig.7 * (multiple modification of provisional needed)) and slight inflammation due to insufficient oral hygiene (^).
Return to Upper Arch Reconstruction, IBS, Atrophic Ridge Xin Wei, DDS, PhD, MS 1st edition 01/11/2017, last revision 08/05/2018